1. Бассет и Херман в 1961 году
Бассет и Херман в 1961 году доказали что единственное что влияет на образование костной или хрящевой это парциальное давление кислорода.
При наличии сосудов все дифференцируются и растет.
Скорость зависит от того насколько активным будет рост сосудов одновременно как и новых костных клеток, и будет ли поступление кислорода.
2. Маршалл Юрист и другие в 1967 1969 1977
Маршалл Юрист и другие в 1967 1969 1977.
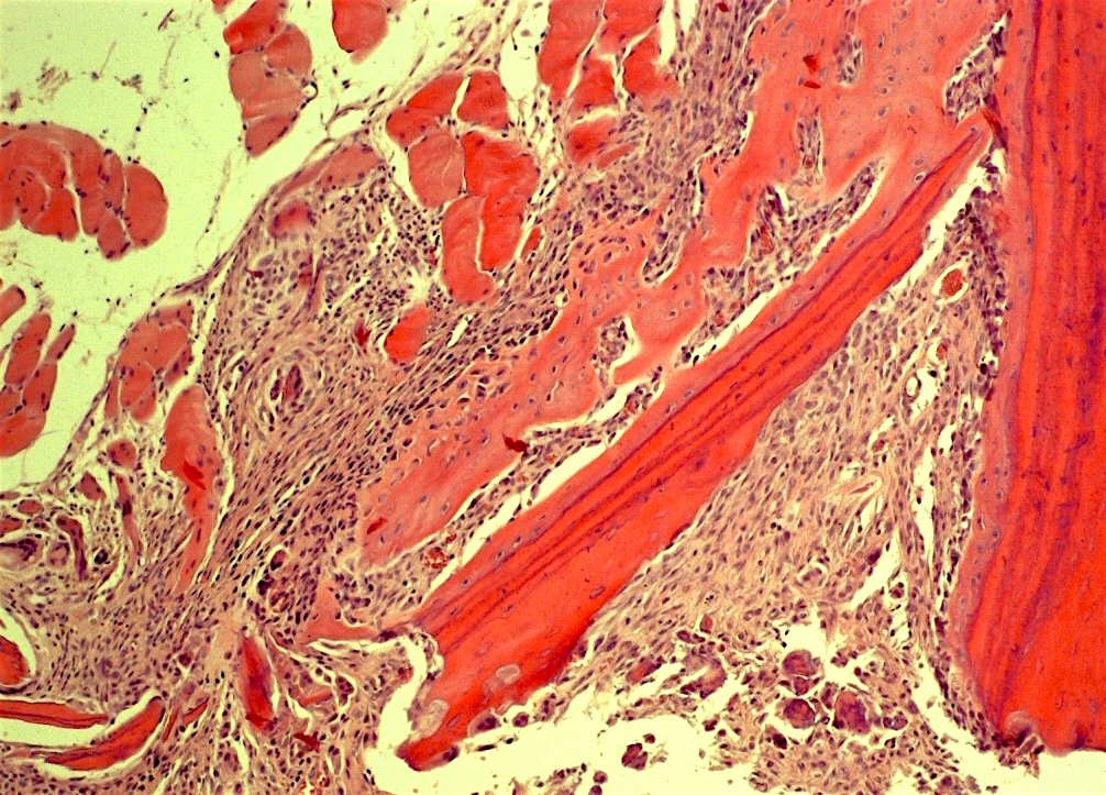
Трансплантируемый в соединительную ткань фрагмент кости, который был предварительно декальцинирован, быстро заморожен и обезвожен в большинстве случаев индуцирует эктопическое костеобразование.
Самое главное чтобы в трансплантат врастали сосуды.
Пусть даже самых мелкий из капилляров будет в этой области, на нем начнут образовываться вытянутые клетки - периваскулярные.
Их обнаружила Марчанд и назвала их адвентициальными.
Эмиль Беринг родился в Хансдорфе (ныне Польша) в многодетной семье прусского учителя Августа Георга Беринга.
У Беринга рано проявился интерес к медицине.
В 1975 году он доказал парабиозом (облучением, с помощью меченных ядер клеток трития тимидином).
Клетка крови и клетка кости произошли от одних и тех же клеток- предшественников.
Остеогенные клетки создают хорошее окружение для роста сосудов.
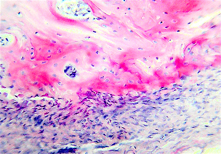
Инес в 1970 году открыла, что в физиологических концентрациях соли кальция должны выпадать в осадок и вода уходить из клеток.
В тканях присутствуют ингибиторы кальцификации.
Это пирофосфаты, фосфонаты, дифосфонаты.
Поэтому в кальцинации участвуют ферменты которыи? блокирует дифосфонат.
Это ингибиторы кальцификации.
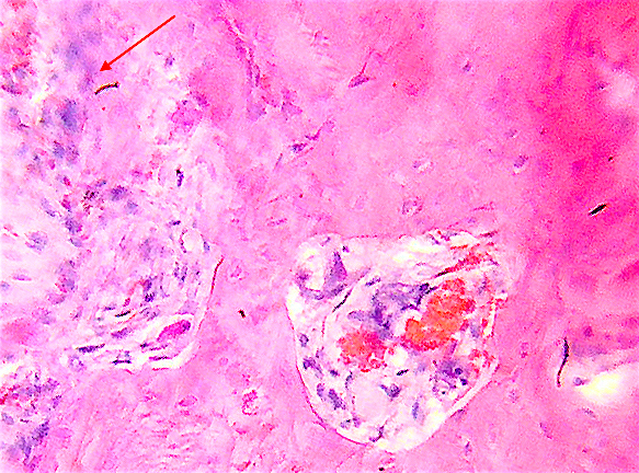
Пузырьки образуются из митохондриий и выбрасываются клетками, они обызвествляют кости, в них образуются игольчатые отложения.
Они ферментативно активны.
Первым это открыл Андерсон в хрящевой ткани в 1976, наблюдая процесс обызвествления хряща.
Доти и Шоуфилд в 1971 году установили что гидростатическое давление в капилляре выше при образовании жидкости, чем при обратном всасывании, а при обратном всасывании содержание белка в крови должно быть выше.
Это коллоидное состояние повышает осмотическое давление в месте с низким гидростатическим и жидкость переходит в клетку.
7. Келликер открыл остеокласт в 1870 году
Остеокласт имеет моноцитарно-макрофагальное происхождение линии крови.
Альберт фон Кёлликер (нем. Albert von Kölliker; 6 июля 1817, Цюрих — 2 ноября 1905, Вюрцбург) — швейцарский анатом, зоолог и гистолог, член-корреспондент Петербургской академии наук.
Келликер открыл остеокласт в 1870 году; "они выгрызают кость и находят в углублениях".
Это Лакуны Хаушипа или ниши резорбции.
В остеокластах многно отдельных ядер 2-100 и больше.
У старых клеток есть также пикнотические ядра.
Остеобласты слились, чтобы образовать остеокласт.
Это костная клетка! Это открыли Хэм и Фишман.
Скотт и Лак в 1974 году доказали, что это все таки кровяные клетки.
Джи и Ноулен в 1963 году доказали что остеобласт образуется слиянием макрофагов и не является фагоцитарной клеткой.
Это открытие поставило точку.
Исследовали парабиозом - подключали здоровый организм к больному и возникала болезнь «остеопетроз».
Это обусловлено генетическим дефектом стволовых клеток кровянои? системы.
Оказалось по Газу и Макнабу что питающая надкостницу вена гораздо тоньше питающей артерии.
Поэтому кровь уходит куда-то в другое место.
На самом деле она сохраняется в гаверсовых системах и выходит через сосуды надкостницы.
Две трети внутреннего слоя компактной кости питаются артерией и одна треть - сосудами надкостницы.
Было доказано что осколки живой кости можно использовать для организации небольших центров остеогенеза и в 1972 году Хэм и Гордон сравнили осколки живой кортикальной кости подсаженные в мышцу и трижды замороженные и оттаявшие, чтобы убить все клетки.
Во втором случае образования кости не происходило.
Она образуется от осколков с живыми остеоцитами.
Губчатая кость имеет много остеогенных клеток, а кортикальная нет.
И многие многие другие.....
Перфорированная мембрана из твердой мозговой оболочки (dura mater) обеспечивает отток экссудата из операционного поля и замещается тканями, в окружении которых она находится
Подробнее
При производстве материалов по технологии «Лиопласт» используется оригинальный метод глубокой очистки ультразвуком с сохранением нативной структуры
Подробнее
Аллогенные имплантаты из кадаверных тканей человека являются оптимальными материалами для реконструкции повреждений зубо-челюстной системы человека
Учитываются анатомо-физиологические особенности пациента, его регенераторные потенциалы, тип кости, качество и объем костной и соединительной ткани, и другие показатели
Подробнее