Проблема дефицита костной ткани при лечении различных патологий зубо-челюстной системы не теряет своей актуальности и сегодня.
Современная стоматология располагает большими возможностями качественного и косметического протезирования зубных рядов (Леонтьев, Никитин, Пьянзин, Лосев). Значительных успехов в решении этих вопросов достигла Самарская школа стоматологов, возглавляемая Игорем Михайловичем Федяевым (…). Вместе с тем одним из факторов, сдерживающих применение прогрессивных методов зубного протезирования (в том числе и на дентальных имплантатах), является атрофия кости альвеолярного отростка челюстей после удаления зубов (Кулаков, Мергазизов, Олесова),
Существующие в настоящее время хирургические способы остеопластической коррекции лишь частично решают проблему восстановления формы и объема атрофированных альвеолярных отростков челюстей. А используемые при этом разнообразные материалы биогенной и синтетической природы не соответствуют всему комплексу требований, предъявляемых к таким операциям (Волова, Трунин, Федоровская) и для многих пациентов экономически неприемлемы.
Сейчас в нашей стране, в соответствии с международными биоэтическими требованиями к организации медицинской помощи, на первый план начинают выходить личность пациента и права человека.
Поэтому целью нашего исследования стала разработка нового комплекса оперативной коррекции атрофированных альвеолярных отростков челюстей, обеспечивающего оптимальное ортопедическое лечение и эффективную дентальную имплантацию.
Для решения поставленных задач нами использованы следующие методы: клинический, рентгенологический, антропометрический, морфологический и морфометрический. Использовалась система электронной визуализации изображений. Цифровой материал диссертации обработан с помощью методов вариационной статистики с использованием критерия Пирсона («хи-квадрат»).
Работа представляет собой клинико-экспериментальное исследование.
Основу нашей работы составили клинические наблюдения за 515 больными с атрофией альвеолярного отростка, находившимися на лечении в стоматологической клинике фирмы «Гиппократ» за период с 1995 по 2004 годы.
Они были разделены на контрольную (250 пациентов, которым проводилось только ортопедическое лечение) и основную группу (265 пациентов, которым была проведена хирургическая коррекция атрофированного альвеолярного отростка челюсти). Из них 153 оперированы по ранее известным метода. Они составили первую основную группу. Вторая основная группа (112 пациенто) оперирована по методу автора.
Продолжительность наблюдений в отдаленном периоде составила 4-5 лет.
Для клинико-экономического анализа мы использовали: нормативные документы, инструкции и методические пособия прайс-листы и калькуляции на медицинские услуги.
Экспериментальная часть работы выполнена в ЦНИЛ СамГМУ
Анализ клинических наблюдений дал следующие результаты.
В группе пациентов, которым коррекция атрофии альвеолярных отростков производились только ортопедическим способом,
38% жаловались на плохую косметику (удлиненные искусственные зубы или наличие искусственной десны); у 12% наблюдались фонетические дефекты; у 34% со съемными протезами жаловались на плохую фиксацию протеза и увеличение размеров базиса. 28% пациентов технически невозможно было провести дентальную имплантацию.
В основной группе (1-ой) проводилось хирургическое лечение известными методами с расщеплением кости в результате остеотомии, с заполнением образовавшегося пространства биоматериалом «внутрь кости», а также когда биоматериал укладывался на альвеолярный отросток, т.е. «внакладку». Мы использовали различные пластические материалы, разрешенные к использованию в Российской Федерации. Осложнений фонетического характераи противопоказаний к дентальнойимплантации и у таких пациентов не выявлено. Однако мы установили, что после таких операций возникает ряд осложнений ..перечисляем.. Наиболее значительное из них постимплантационая атрофияв ранние сроки .По разным материалам она колеблется от 0,8 до 47%.
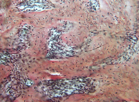
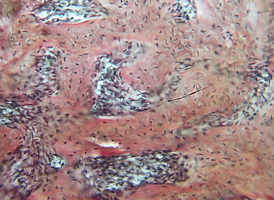
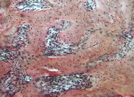
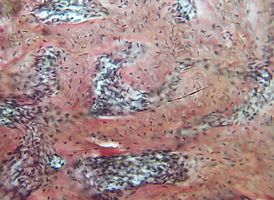
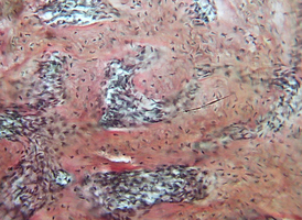
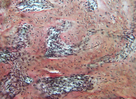
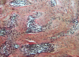
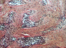
Экспериментальное исследование. Изучение морфогенеза после заме-щения дефектов нижней челюсти смесью лиофилизированной алло-спонгиозы и “аллогенного гидроксиапатита” в соотношении 1:1 и 3:1.
Подробнее
Эффективность применения биоимплантатов "Лиопласт-С"® на основе аллогенной деминерализованной спонгиозы при замещении дефектов после удаления одонтогенных кист в у детей
Подробнее
Лабораторное исследование. Иньекционный способ введения аллогенного гидроксиапатита полученного при деминерализации костных биоимплантатов для восстановления костной ткани.
Подробнее
Клинико-экспериментальное исследование. Эффективность лечения больных с вторичной адентией в ранние сроки после удаления зубов с использованием новых конструкций дентальных имплантатов.
Подробнее