ГлавнаяТравматологияКлинические примерыПрименение материалов "Лиопласт" в травматологии стопы. Случай 1

Применение материалов "Лиопласт" в травматологии стопы. Случай 1

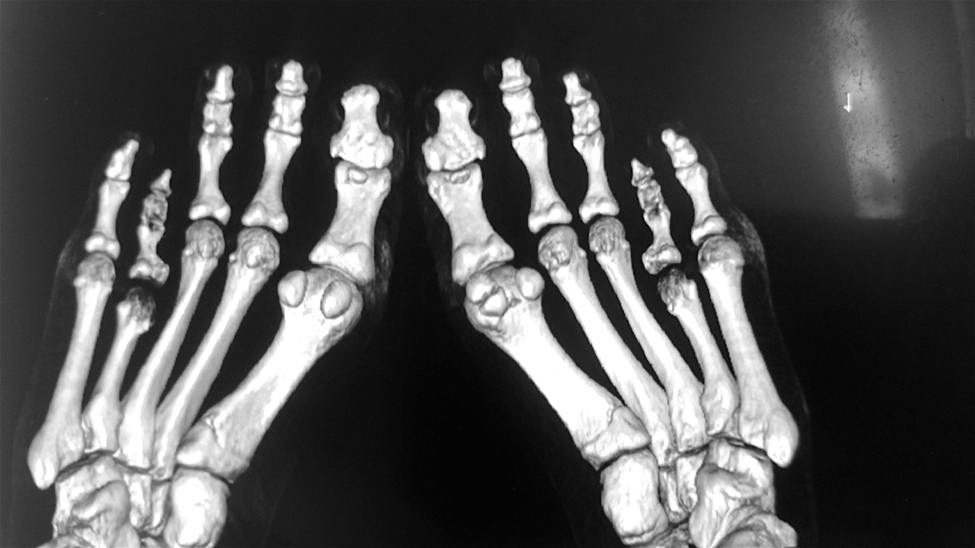
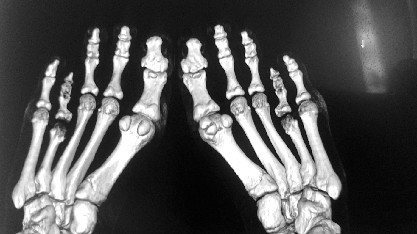
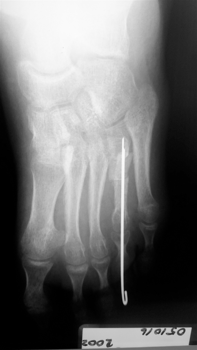
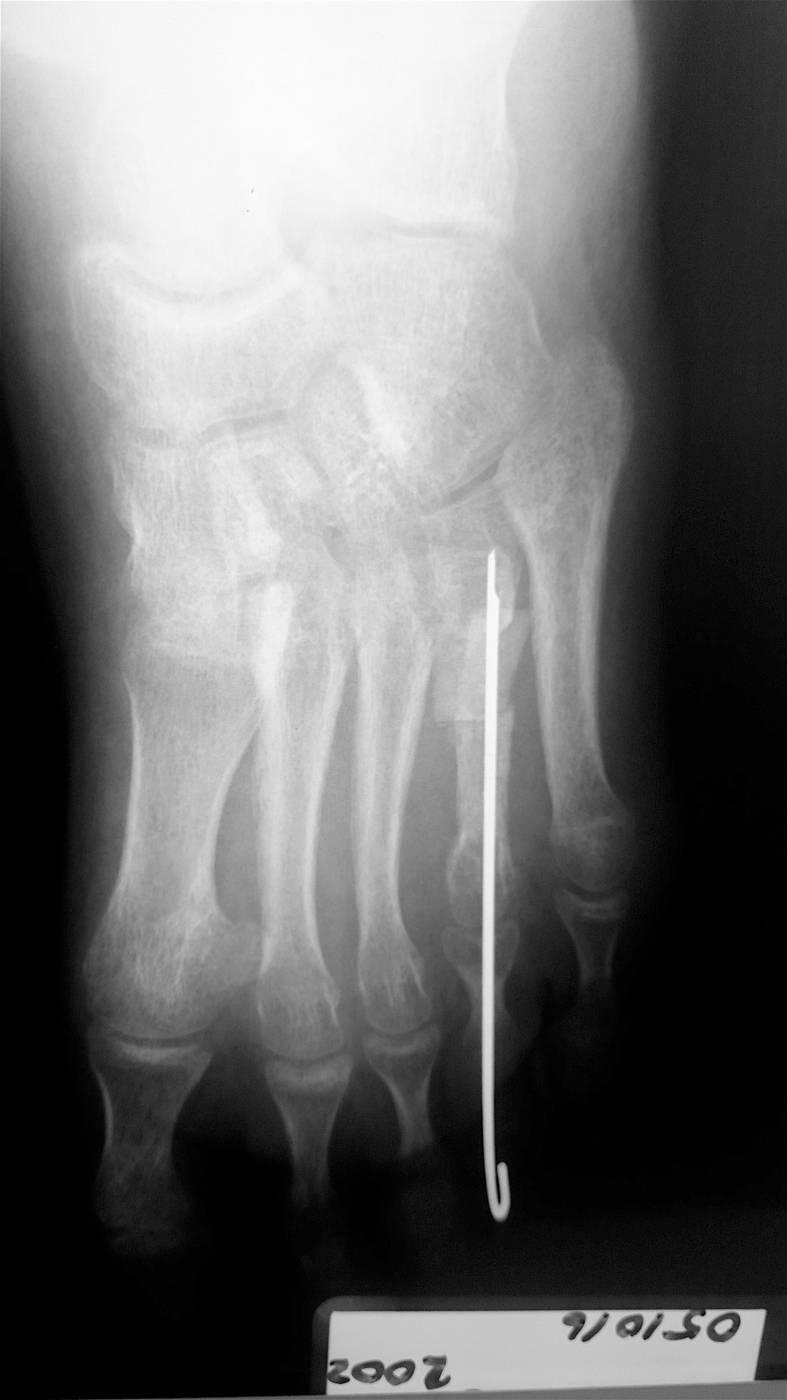
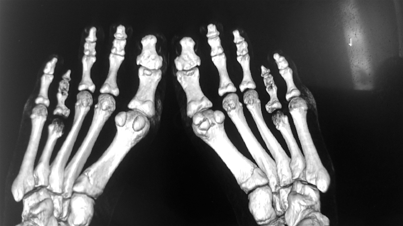
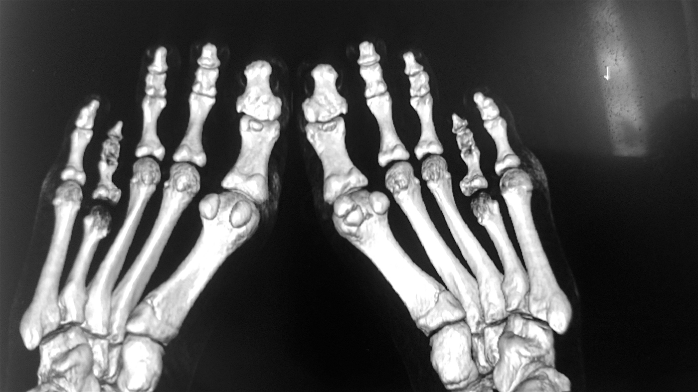
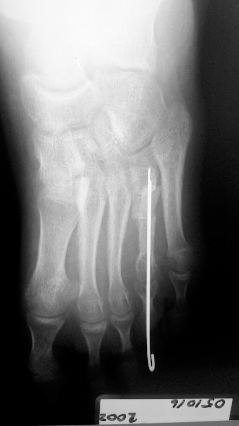
Случай брахиметатарзия, операция остеотомия с аллопластикой бикортикальным трансплантатом  "Лиопласт".