ГлавнаяТравматологияКлинические примерыПрименение материалов "Лиопласт" в детской ортопедии. Случай 2

Применение материалов "Лиопласт" в детской ортопедии. Случай 2

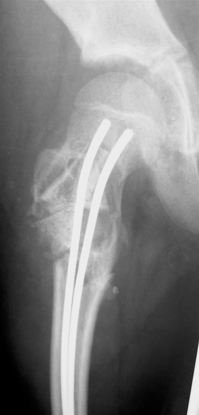
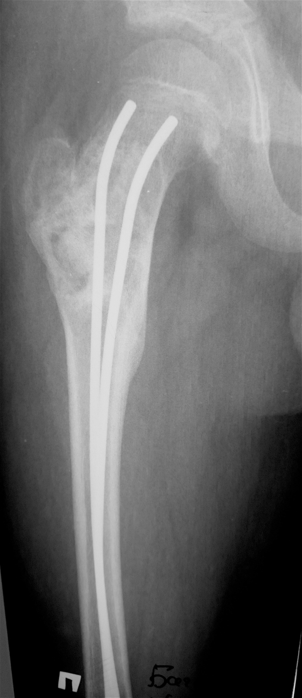
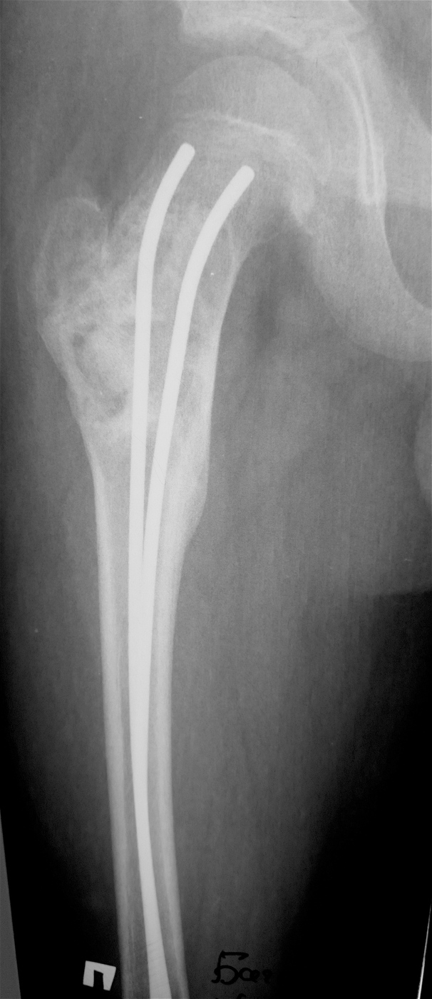
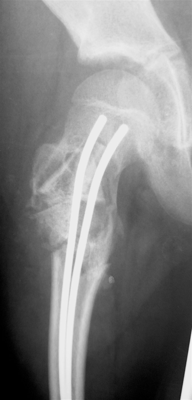
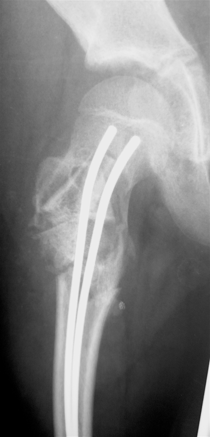
Закрытый, паталогический перелом в подвертельной области правой бедренной кости со смещением, на фоне аневризмальной костной кисты.

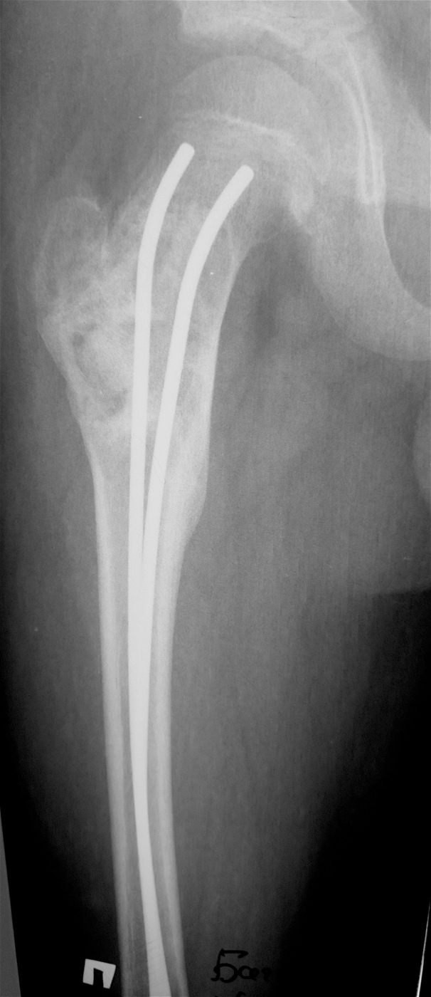
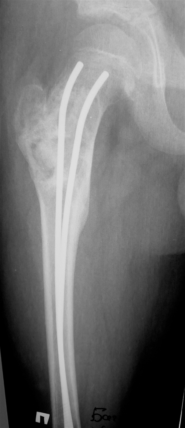
Выполнена резекция с аллопластикой губчатыми и кортикальными биоимплантатами "Лиопласт".