ГлавнаяТравматологияПродукция Лиопласт для травматологии и ортопедииФРАГМЕНТ ( головка бедренной кости) ЛИО-113
ФРАГМЕНТ ( головка бедренной кости) ЛИО-113 Артикул: ЛИО-113

ФРАГМЕНТ ( головка бедренной кости) ЛИО-113 

Биоимплантаты аллогенные стерильные  механически и ультразвуком обработанные. 
 
Часть (фрагмент) костной ткани человека. Костный препарат натурального кадаверного (трупного) происхождения, аллогенный материал.

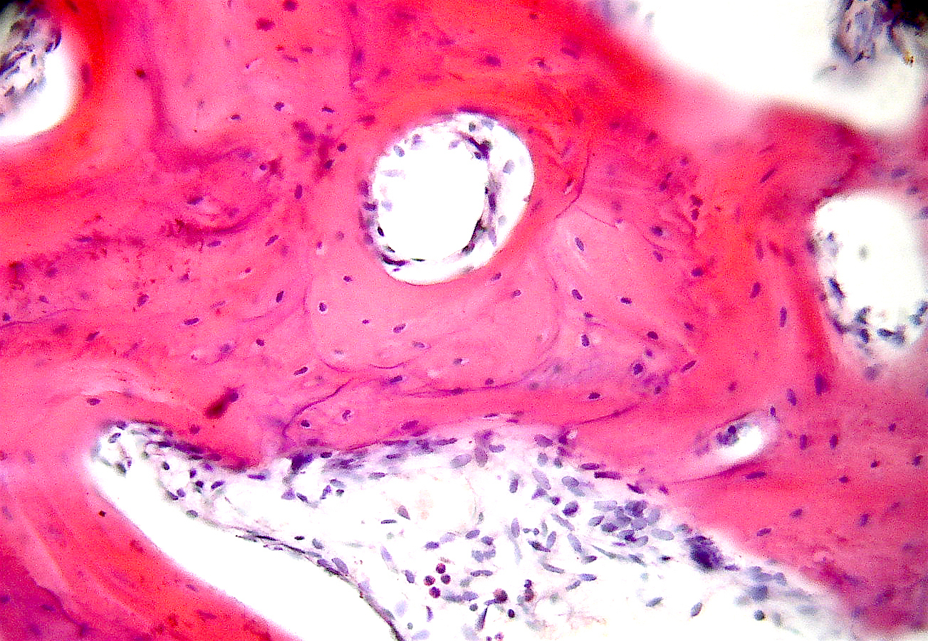
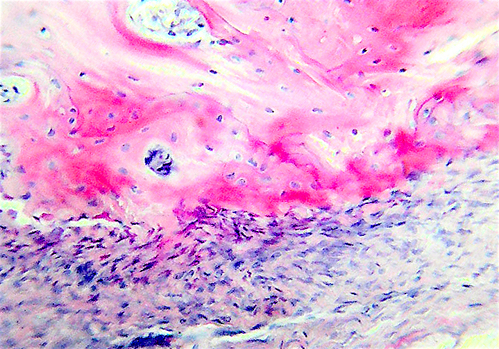
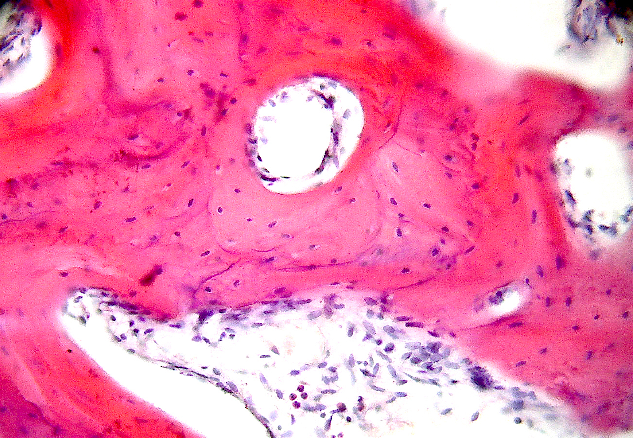
Фрагмент различной формы неоднородной поверхности без дополнительных включений и субстанций натурального или синтетического происхождения.

В структуре фрагмента выделимы плотная кортикальная пластинка кости и пористый губчатый слой.

На фрагменте нет трещин, отломов, раковин.
 
Способ консервации-лиофилизация. Способ стерилизации-гамма лучи.
 
Для установки уникальный набор монтажных инструментов не требуется.
 
Упаковка  герметична. Наличие сертификата соответствия МЗ РФ и регистрационного удостоверения.

Костный блок упакован по 1 шт в стерильный полимерный прозрачный пакет герметизируемый термически.

Стерильная упаковка размещается в специальной крафт-бумаге с прозрачной внешней стороной. 

Химический состав минерализованного губчатого порошка.pdf

Химический состав минерализованного компактного порошка.pdf

1. Очистка и обработка материала. Получение биоиплантата "Лиопласт"

2. Поверхность и структура материала для изготовления биоимплантатов

3. Полный точный химический состав материалов 

4. Схема деминерализации материала для получения ДМ-форм

5. Анализы и свойства биоимплантатов "Лиопласт"

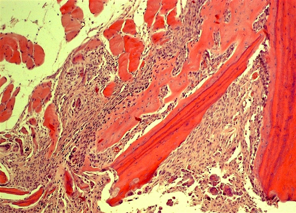
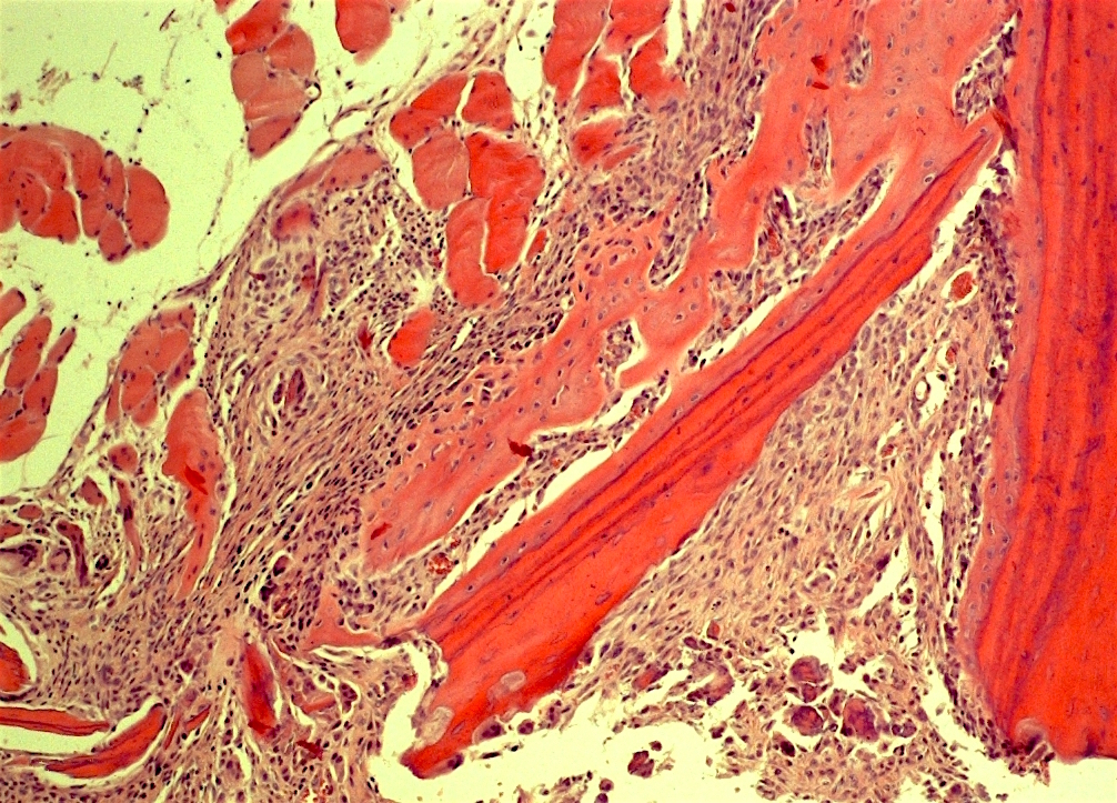
6. Полное замещение биоимплантатов собственными тканями организма