ГлавнаяНаучные работы, статьи и публикации, лабораторные и клинические исследованияХирургическое лечение множественных рецессий десны с комбинированным применением аутотрансплантата и аллогенной лиофилизированной dura mater: клинический случай

Хирургическое лечение множественных рецессий десны с комбинированным применением аутотрансплантата и аллогенной лиофилизированной dura mater: клинический случай

В научно-практическом журнале для стоматологов "Пародонтология"*вышла статья, рассказывающая про хирургическое лечение множественных рецессий десны с комбинированным применением аутотрансплантата и аллогенной лиофилизированной dura mate. 

 

Авторы: М. А. Носова1, Л. Т. Волова1, А. Н. Шаров2, Д.А. Трунин1, М. А. Постников1

*ISSN 1683-3759 (Print), ISSN 1726-7269 (Online)

— Самарский государственный медицинский университет, Самара, Российская Федерация

— ООО «Стоматологический магазин «РОМАШКА», Санкт-Петербург, Российская Федерация

Скачать статью

 

1. Резюме

Актуальность. Десневая рецессия представляет собой снижение уровня десны в апикальном направлении, сопровождающееся оголением корней зубов, а также атрофией кости вокруг них. Распространенность локализованных рецессий у людей старше 18 лет – 86,7%, генерализованных, то есть на всех зубах, – 28,6%. Высокая распространенность данной патологии обуславливает острую потребность в совершенствовании подхода к лечению множественных рецессий и выбору тактики лечения у пациентов с различными фенотипическими показателями. Золотым стан- дартом на сегодняшний день остается хирургическое лечение рецессий с применением аутотрансплантата. Однако применение данной методики имеет свои недостатки. Целью данной работы явилось оценить реакцию на операцию и конечный результат хирургического лечения множественных рецессий десны на одном объекте при совместном применении аутотрансплантата и пластического материала в одном дизайне исследования.
Материалы и методы. В исследовании представлен и подробно разобран клинический случай применения ауто- и аллотрансплантатов у одного пациента при лечении генерализованных рецессий десны.


Результаты. Во всех случаях применения аутотрансплантата и ТМО (dura mater) наблюдается сопоставимый положительный клинический результат по всем параметрам оценки рецессий десны. Процент закрытия корня зуба наблюдается больше 80% у 13 зубов, менее 80% – у 11 зубов.


Заключение. Результат применения ТМО (dura mater) и аутотрансплантата сопоставим, реактивность на операцию одинаковая, к тому же использование ТМО (dura mater) привлекательно для сочетанного, а также самостоятельного применения для хирургического лечения множественных и особенно генерализованных рецессий десны. Ключевые слова: множественная рецессия десны, аутотрансплантат, dura mater


Для цитирования: Носова М.А., Волова Л.Т., Шаров А.Н., Трунин Д.А., Постников М.А. Хирургическое лечение множественных рецессий десны с комбинированным применением аутотрансплантата и аллогенной лиофилизированной dura mater: клинический случай. Пародонтология.2021;26(2):125-136. https://doi.org/10.33925/1683- 3759-2021-26-2-125-136.

2. Актуальность

Десневая рецессия представляет собой уменьшение уровня десны в апикальном направлении [1, 2]. Она может быть локализованной или генерализованной. Зачастую рецессия сопровождается оголением корней зубов и атрофией кости вокруг них [3]. Клинически рецессии проявляются повышением чувствительности пришеечной области, болями от агрессивных воздействий, эстетическими нарушениями, абразиями твердых тканей зубов, психологическими расстройствами [3, 4]. Распространенность локализованных рецессий у людей старше 18 лет — 86,7%, генерализованных, то есть на всех зубах — 28,6% [4, 5]. Высокая встречаемость данной патологии вызвала острую потребность в совершенствовании подхода к лечению множественных рецессий и выбору тактики лечения у пациентов с различными фенотипическими показателями [2].

Наиболее распространенным методом лечения рецессии зубов является хирургическое лечение с применением аутотранспланта [6]. Донорскими зонами являются небо и бугор челюсти. Однако полученного таким образом аутотрансплантата достаточно для лечения максимально трех зубов. Объем, размер и качество его ограничены [7]. В 20% случаев встречается плохое качество аутотрансплантата: он тонкий и не меняет фенотип десны. Эти проблемы в совокупности требуют поиска пластических материалов для создания и увеличения объема прикрепленной десны при лечении множественных рецессий, в особенности генерализованных [8, 9].

На сегодняшний день уже имеется опыт применения dura mater при рецессиях [10]. Особый же интерес представляет случай применения ауто- и аллотрансплантатов у одного пациента при лечении генерализованных рецесcий десны.

3. Цель исследования

Цель исследования – оценить реакцию на операцию и конечный результат хирургического лечения множественных рецессий десны на одном объекте при совместном применении аутотрансплантата и пластиче- ского материала в одном дизайне исследования.

Представленный клинический случай наглядно демонстрирует эффективность совместного использования аутотрансплантата и аллогенного пластического материала — твердой мозговой оболочки, сокращенно ТМО (dura mater) «Лиопласт-С» при лечении генерализованных рецессий десны.

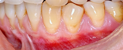
В марте 2017 года в клинику обратилась пациентка Ч., 28 лет (табл. 1) без вредных привычек, с положительным социальным статусом, астенического телосложения. С жалобами на тотальное обнажение корней зубов с повышением чувствительности от термических раздражителей, эстетические дефекты, абразии твердых тканей зубов.

Исходный объем мягкотканного комплекса атрофичен, тонкий биотип десны. Мелкое преддверие полости рта на нижней челюсти в переднем отделе, от 44-го до 34-го зубов высокое прикрепление слизисто-мышечных тяжей.

Форма зубной дуги — эллипсовидная, с незначительным сужением в области премоляров на верхней челюсти; во фронтальных участках верхней и нижней челюстей окклюзия в протруссии. Зубы крупные, вытянутые по форме. Межальвеолярный контакт в норме, прикус ортогнатический. Гигиенические индексы: IG–1,2(HYG),PI—6,GI—0,PBI—0.

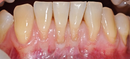
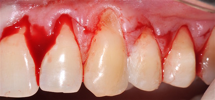
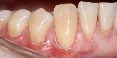
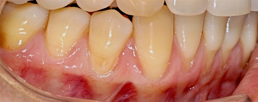
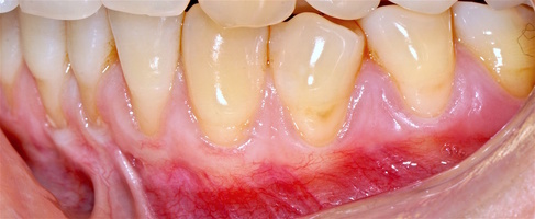
В области от 1.6 до 2.6 и от 3.6 до 4.6 все зубы имеют некариозные поражения разной степени, такие как эрозии эмали и клиновидные дефекты, вовлекающие в процесс ткани эмали и дентина. Подвижности зубов не выявлено (рис. 1а-е) [9].

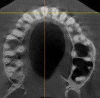
При анализе и описании компьютерной конусно-лучевой томографии (рис. 2а-г) была выявлена генерализованная первичная дегисценция вестибулярной пластинки кости от 1/2 до 3/4 длины корней зубов, зубной ряд целостный, все зубы витальны, кариозных поражений нет. Тип кости 1-2 (Lechkolm и Zarb, 1983), первичная дегисценция вестибулярной костной пластинки превышает пределы возрастной атрофии.

Пародонтологический статус каждого зуба был оценен в таблице 2, где:

  1. ГР — глубина рецессии, (рис. 3);
  2. ТКД — толщина прикрепленной десны;
  3. ШКД — ширина прикрепленной десны;
  4. РРД — расстояние от режущего края до края десны;
  5. ЗДК — зубодесневой карман.

Исходный диагноз: генерализованные рецессии десны 1 и 2 класса по Миллеру [7, 9, 10].

При анализе уровня дегисценции остро стоял вопрос о зубосохраняющих операциях для увеличения толщины прикрепленной десны или ее создания, для предотвращения прогрессирования рецессий десны и резорбции костной ткани альвеол, для реконструкции костной массы альвеол и поддержки мягких тканей пародонта (табл. 3).

Был выбран и согласован следующий план лечения рецессий десны:

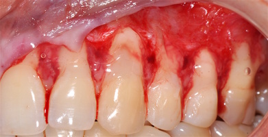
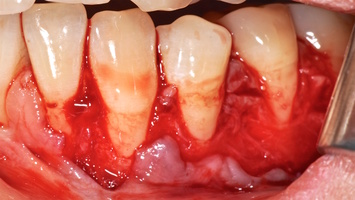
  1. Генерализованные рецессии в области нижней челюсти оперировались в один этап все 12 зубов, фронтальный участок с аутотрансплантатом от 3.2 до 4.2 зубов. А дистальные участки от 3.6 до 3.3 и от 4.6 до 4.3 зубов с использованием пластического материала ТМО (dura mater) (рис. 4а-з).
  2. Рецессии в области верхней челюсти были разделены на две операции с разницей в 2,5 месяца (рис. 5а-л):
    • – первым был прооперирован второй сегмент от 2.1 до 2.6 зубов,
    • – затем был прооперирован первый сегмент от 1.1 до 1.6 зубов.

Для самых глубоких рецессий был выбран аутотрансплантат, в остальных случаях использовалась ТМО.

Использованный пластический материал представляет собой образцы твердой мозговой оболочки (ТМО) размером 40 на 40 мм, лиофилизированные стерильные. В процессе производства биоимплантов из твердой мозговой оболочки по технологии «Лиопласт»®, на первом этапе процесс получения имплантатов включает специальную ультразвуковую очистку от антигенных структур для проведения первичной стерилизации материала и вирусной инактивации. После первичной обработки ткани лиофилизируют, а затем герметично упакованный материал на заключительном этапе стерилизуют радиационным методом. Применение химических факторов при изготовлении применяются в минимальном количестве для снижения аллергических реакций и осложнений.

4. Этапы хирургического лечения рецессий десны на нижней челюсти

3.2-4.2 зубы были прооперированы методом, сочетающим вестибулопластику с одновременным увеличением ширины и толщины прикрепленной десны при помощи свободного десневого аутотрансплантата (операция Bjorn, 1963 г.).

5. Хирургическая методика

  1. Подготовка принимающего ложа. Включает в себя формирование полнослойно-расщепленного слизисто-надкостничного лоскута (полнослойного в области зенитов рецессий, расщепленного билатерально области рецессии десны), рассечение и отслаивание слизисто-мышечных волокон вестибулярно ниже мукогингивальной границы, деэпителизация межзубных сосочков.
  2. Обработка поверхностей корней зубов. Включает ультразвуковую обработку скейлером для очищения от минерализованных зубных отложений и мягкого зубного налета, экспозицию геля ЭДТА 17% в течение двух минут, механическое удаление слоя бесклеточного цемента импрегнированного микроорганизмами зоноспецифическими кюретами, полировку пародонтологическими борами («фасолька» и «обратный треугольник»).
  3. Получение аутотрансплантата: начинается с определения толщины донорской зоны и замеров размера будущего трансплантата. Зона забора от второго премоляра до третьего моляра верхней челюсти. Глубина погружения брюшка скальпеля 2 мм, далее трансплантат оптимизируют — деэпителизируют по периметру.
  4. Затем проводиться позиционирование аутотрансплантата в области рецессий и принимающего ложа двумя-тремя узловыми швами; после аутотрансплантат стабилизируют прижимающими двумя-четырьмя матрасными крестообразными швами, что позволит плотно прижать аутотрансплантат и избежать образования «мертвых» зон для питания аутотрансплантата.

Участки 3.3-3.6 зубов и 4.3-4.6 зубов были проопери- рованы зеркально по методу коронально-ротированно- го лоскута по M. De Sanctis и G. Zucchelli (2000) с одним послабляющим вертикальным разрезом в области 3.3 зуба или 4.3 зуба.

6. Протокол хирургической операции

Протокол хирургической операции:

  1. Измерены глубины рецессий (ГР), эти замеры отложены от вершин межзубных сосочков в апикальном направлении в сторону зенита рецессии.
  2. Дизайн разрезов соответствует методике Zucchelli G. коронально-ротированного смещения (2000).
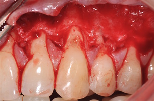
  3. Мобилизация слизисто-надкостничного лоскута, деэпителизация анатомических сосочков, обработка поверхности корней зубов.
  4. Фиксация пластического материала ТМО (dura mater) к поверхности корней зубов в области зоны создания необходимого объема прикрепленной десны.
  5. Закрытие пластического материала слизисто-надкостничным лоскутом со смещением в корональном направлении, и фиксация слизисто-надкостничного лоскута швами; дополнительная фиксация зоны перемещенных и в будущем созданных мягких тканей десны в зоне рецессии десны для стабилизации результата операции.
  6. Обработка поверхностей корней зубов проводилась аналогично (см. выше).

7. Этапы хирургического лечения рецессий десны на верхней челюсти

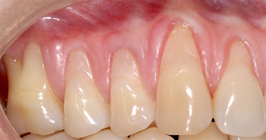
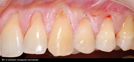
Второй сегмент был прооперирован через 4 месяца после операций на нижней челюсти, область операции включила в себя зубы от 2.1 до 2.6.

В области 2.3 зуба глубина рецессии составила 6 мм (2-й класс по Миллеру), кератинизированная десна отсутствует, толщина слизистой — 0,7 мм. Это показание к применению аутотрансплантата(свободного десневого деэпителизированного трансплантата) именно в области 2.3 зуба. Донорская зона позволила сделать забор аутотрансплантата размером 15 мм, которого хватило на общую ширину рецессий двух зубов: 2.3 и 2.4.

При устранении рецессий десны коронально-смещенным лоскутом по De Sanctis M. и Zucchelli G. в остальных участках был использован пластический материал аллогенного происхождения — ТМО (dura mater).

Хирургический протокол операции соответствовал технике коронально-ротированного смещения, пласти- ческий материал и аутотрансплантат были полностью перекрыты слизисто-надкостничным лоскутом и зафиксированы швами. Обработка поверхностей корней зубов проводилась аналогично.

Первый сегмент был прооперирован через 2,5 месяца после операции во втором сегменте.

В области 1.3 и 1.2 зубов выявлены рецессии десны глубиной 6 мм 2-го класса, полное отсутствие прикре- пленной десны, толщина ее составила 0,6 мм. Зона хирургического устранения рецессий от 1.6 до 1.1 зубов.

Протокол операции коронально-ротированного лоскута по методике M. De Sanctis и G. Zucchelli: дизайн разрезов с измерением глубины рецессий, отслаивание слизисто-надкостничного лоскута и его мобилизация.

Деэпителизация анатомических сосочков, обработка поверхностей корней зубов, фиксация свободного десневого аутотрансплантата и пластического материала ТМО (dura mater) швами, с полным перекрытием слизисто-надкостничным лоскутом, фиксация швами слизисто-надкостничного лоскута узловыми одиночными швами в области установки аутотрансплантата и ТМО (dura mater), двойными обвивными для слизисто-надкостничного лоскута, и крестообразными прижимающими горизонтальными швами для фиксации слизисто-надкостничного лоскута в новом положении. Обработка поверхностей корней зубов проводилась аналогично.

Послеоперационный период после всех операций протекал спокойно, без воспаления и особенностей, реактивный отек соответствовал норме в случае применения аутотрансплантата и ТМО (dura mater).

Реактивность в области применения ТМО и аутотрансплантата была сопоставима и сравнима с травмой мягких тканей при хирургическом вмешательстве. Имеет место реакция в обоих случаях на операцию, но на материал ТМО реакция отсутствует.

8. Ведение пациента в операции и после

Ведение пациента в операции и после:

  1. Для обработки операционного поля применялся антисептический раствор с хлоргексидином 0,12%, аллантоином и пантенолом (Pierrot, Испания).
  2. Поверхности корней зубов были обработаны 17% гелем ЭДТА — этилендиаминтетраацетат натрия («Эн- догель», Россия).
  3. Местно в день операции и на 14 дней после был назначен гель с хлоргексидином 0,2% (PerioKIN, Испания) для заживления послеоперационных швов.
  4. Для уменьшения отека местно был назначен холод в первый день по 10-15 минут каждый час.
  5. При болевых ощущениях после операции был назначен ибупрофен в капсулах по 400 мг (Нурофен).
  6. Для ускорения васкуляризации аутотрансплантата и ТМО (dura mater) за 7 дней до операции и в течение 14 дней после операции была назначена комбинация пентоксифиллина в таблетках по 100 мг (Трентал) и гемодиализата крови молочных телят в таблетках (Актовегин). (Патент «Способ медикаментозной поддержки пациентов при выполнении костно-пластических операций», RU 2631416).
  7. В день первой операции на нижней челюсти был назначен «Преднизолон» в таблетках по 50 мг однократно. Также в день операции и на три дня после был назначен цетиризин (Зиртек) для снижения послеоперационного отека мягких тканей.

9. Результаты и их обсуждение

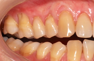
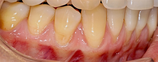
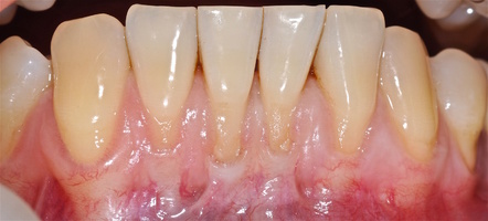
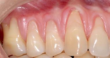
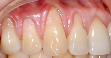
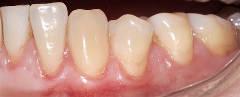
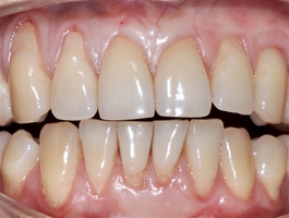
Во всех случаях применения аутотрансплантата и ТМО (dura mater) наблюдается сопоставимый положительный клинический результат по всем параметрам оценки рецессий десны (табл. 4). В случае нескольких зубов в области наиболее глубоких рецессий с наименьшими клиническими показателями имеет место сохранение класса рецессии не более первого класса (9 зубов) и глубиной не более 2 мм, 1.6 зуб — 3 мм.

В зарубежной литературе встречается также совокупный показатель эффективности лечения рецессий десны — процент закрытия корня зуба — отношение разница между конечным и исходным значениями глубины рецессии к исходному значению в процентах. Положительный результатом лечения является значение равное или более 80% [4]. Использование только показателя глубины рецессии десны для анализа эффективности лечения без учета остальных показателей (ТКД, ШКД, РРД, ЗДК) не дает полной картины результата и может быть применимо только в совокупности с другими показателями (рис. 6а-й).

Так в нашем случае процент закрытия корня зуба наблюдается больше 80% у 13 зубов. Менее 80% — у 11 зубов. Это связано с сохранением класса рецессии после лечения в области зубов с наибольшим классом рецессии и наибольшим показателем глубины рецессии. При этом средний показатель всех 24-х оперированных зубов — 83,1%. При этом среднее значение процента закрытия корня зуба для зубов с положительным результатом (более 80%) составляет 96,65%. Среднее значение для результатов менее 80% — 54,73, что связано с изменением глубины рецессий с 6 мм до 3 мм, с 4 мм до 2 мм и с 2 до 1 мм. При этом для аутотрансплантата и для ТМО результаты сопоставимы.

10. Анализ компьютерного томографического обследования

Через 12 месяцев (рис. 7а-г) на срезах компьютерной томограммы 11-ый и 13-ый зубы находятся в костной ткани, при этом костные пики и перегородки укрепились, объем их увеличился; вестибулярно заметен объем костной массы, предположительно компактной формации, исходя из электронной плотности участка. Этим объясняется отсутствие рецидива при лечении рецессии десны как в случае применения аутотрансплантата, также и ТМО (dura mater).

11. Выводы

  1. Результат применения ТМО (dura mater) и ауто-трансплантата сопоставим, реактивность на операцию одинаковая.
  2. Учитывая исключение второго операционного поля, использование ТМО (dura mater) привлекательно для сочетанного, а также самостоятельного применения для хирургического лечения множественных и особенно генерализованных рецессий десны.
  3. Возможно применение ТМО сочетанно с аутотрансплантатом и в качестве альтернативы аутотрансплантату при всех классах рецессий десны по Миллеру, с различным сопутствующим профилем пациентов.

12. Список литературы / References

  1. Pendor S, Baliga V, Bhongade ML, Turakia V, Shori T. A comparison between connective tissue grafts combined with either double pedicle grafts or coronally positioned pedicle grafts: A clinical study. Journal of Indian Society of Periodontology. 2014;18:326-330.
  2. Shanmugam M, Shivakumar B, Meenapriya B, Anitha V, Ashwath B. Clinical evaluation of expanded mesh connective tissue graft in the treatment for multiple adjacent gingi- val recessions in the esthetic zone. Contemporary of Clini- cal Dentistry. 2015;6:321-326.
  3.  Egawa M, Inagaki S, Tomita S, Saito A. Connective Tissue Graft for Gingival Recession in Mandibular Incisor Area: A Case Report. The Bulletin of Tokyo Dental College. 2017;58(3):155-162.
  4. Rijhwani JA, Kini VV, Pereira R, Yadav S. Free Gingival Au- tograft and Subepithelial Connective Tissue Graft for the Treat- ment of Gingival Recession: A Brief Review and Report of Three Cases. Journal of Contemporary Dentistry 2016;6(3):225-232.
  5.  Noncheva V, Dobreva M, Chenchev I. Is Treatment of Gingival Recession Predictable? Journal of Mathematics (IOSR-JM). 2016;12(5)Ver.V:07-11.
  6. Ahmari F. Al. An Acellular Dermal Matrix Allograft for Treatment of Multiple Gingival Recession Defects: A Case Report. Journal of Dental Health, Oral Disorders and Thera- py. 2018;9(1):00328.
  7. Garcıa-Mendez MC, Rodrıguez-PulidoJI, Sandoval GM, Garza-Enriquez M, Gomez-Butzman L. Management of Miller-Class I and III gingival recessions through different techniques combined with connective tissue graft: a case report. Journal Of Clinical Periodontology. 2018. PCS107.
  8. Isler SC, Ozcan G, Ozcan M, Omurlu H. Clinical evalua- tion of combined surgical/ restorative treatment of gingival recession- type defects using different restorative materi- als: A randomized clinical trial. Journal of Dental Sciences. 2018 Mar;13(1):20-29.
  9. Sculean A, Cosgarea R, Katsaros C, Arweiler NB, Miron RJ, Deppe H. Treatment of single and multiple Miller Class I and III gingival recessions at crown-restored teeth in maxillary esthetic areas. Article in Quintessence Publishing Deutsch landinternational. 2017;10:777-782.
  10. Stein JM. Decision-Making in Surgical 7 Management of Gingival Recession. part of Springer Nature. 2018:83-95.

Конфликт интересов:

Авторы декларируют отсутствие конфликта интересов/

Сonflict of interests:

The authors declare no conflict of interests

Поступила / Article received 25.09.2020

Поступила после рецензирования / Revised 13.10.2020

Принята к публикации / Accepted 22.11.2020

13. Сведения об авторах

  • Носова Мария Александровна, врач-стоматолог, хирург, пародонтолог, имплантолог Санкт-Петербургского Государственного автономного учреждения здравоохранения «Городская поликлиника No40 для творческих работников», Клинический консультант общества с ограниченной отвественностью «Стоматологический магазин «РОМАШКА», Клинический консультант по материалам «ЛИОПЛАСТ». Санкт-Петербург, Российская Федерация
  • Волова Лариса Теодоровна, доктор медицинских наук, профессор, главный научный сотрудник Института экспериментальной медицины Самарского государ- ственного медицинского университета, Самара, Российская Федерация
  • Шаров Алексей Николаевич, провизор, магистрэкономики, частный научный деятель, оперативный и клинический фармаколог, генеральный директор общества с ограниченной ответственностью «Стоматоло- гический магазин «РОМАШКА», клинический консультант по материалам «ЛИОПЛАСТ», Санкт-Петербург, Российская Федерация
  • Трунин Дмитрий Александрович, доктор медицинских наук, профессор, директор стоматологического института Самарского государственного медицинско- го университета, заведующий кафедрой стоматологии Самарского государственного медицинского университета, президент Стоматологической ассоциации России, Самара, Российская Федерация
  • Автор, ответственный за связь с редакцией: Постников Михаил Александрович, доктор медицинских наук, доцент, заведующий кафедрой терапев- тической стоматологии Самарского государственного медицинского университета, профессор кафедры стоматологии Самарского государственного медицинского университета, Самара, Российская Федерация
Смотрите также