Биологические свойства материалов и замещение тканями пациента

БИОЛОГИЧЕСКИЕ СВОЙСТВА МАТЕРИАЛОВ И ЗАМЕЩЕНИЕ ТКАНЯМИ ПАЦИЕНТА

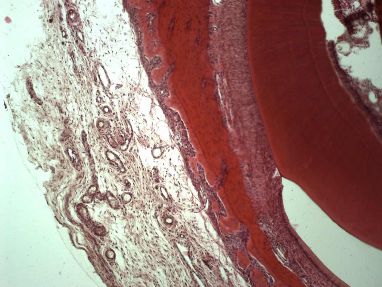
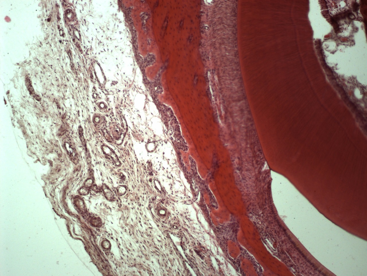
  • Все материалы и препараты для стоматологии полностью резорбируются и замещаются собственными тканями на 100%.
  • При производстве материалов «Лиопласт» используется оригинальный метод глубокой очистки ультразвуком установки. 
  • При определенных условиях (частоте и времени воздействия) ультразвук можно использовать для удаления только тех частей структур, от которых необходимо избавиться. 
  • Например, таким образом удаляются все следы жира, белка, нуклеиновых кислот, мертвых клеток и их компонентов, неколлагеновых белков и прочих соединений. Вследствие такой очистки остается только коллагено-минеральный каркас мертвого межклеточного вещества костной ткани, состав которого стабилен на протяжении всей жизни человека. 
  • При последующей лиофилизации вся свободная и связанная влага испаряется из кости, и она [кость] немного сокращается в объеме, как бы «подседает», на 10-15%. 
  • При этом во всем объеме пористой структуры возникает так называемый «капиллярный эффект», или отрицательное поверхностное натяжение, или разряжение.
  • Поэтому первая свободная жидкая фаза, в которую будет погружен материал, будет активно адсорбироваться в течение 2-3 минут.
  • Этого времени «гидратации» достаточно для регидратации материалов. 
  • Твёрдая мозговая оболочка (ТМО) вымачивается также 2-3 минуты или гидратируется в операционном поле сразу, если поле достаточно хорошо кровит. 
  • Блоки вымачивают 3-5/10 минут. Лучшей средой для их вымачивания является капиллярная кровь, немного разведенная физиологическим раствором. 
  • Минерализованную губчатую или кортикальную кость применяют там, где нужно сохранить объем по высоте и ширине, например, при операции поднятия верхнечелюстного синуса или операции имплантации зубов.
  • Деминерализованную кость применяют дополнительно для восстановления внутренних костных дефектов: через нее лучше растут кровеносные сосуды, так как она содержит морфогенетический белок (МГБ), но за счет отсутствия минерального каркаса не способна удержать трехмерный объем.
  • Они по своей природе коллагенового происхождения, поэтому не вымываются из матрикса и сохраняют свои биологические свойства.
  • Алогенный гидроксиапатит используется при увеличении объема более чем на 5-7 мм по высоте. Возможно поднятие на 12, 13 и даже 15 мм.
  • Минеральный костный компонент (МКК) «Лиопласт» можно применять в случаях «возрастных» пациентов, наличия в анамнезе различных нарушений минерального обмена в организме.
  • МКК "Лиопласт" содержит: Ca, Mn, P, Fe, Zn, Co, Ag, хондроитина сульфат и коллаген.

Смотрите также