ГлавнаяТравматологияКлинические примерыПрименение материалов "Лиопласт" в эндопротезировании. Случай 1

Применение материалов "Лиопласт" в эндопротезировании. Случай 1

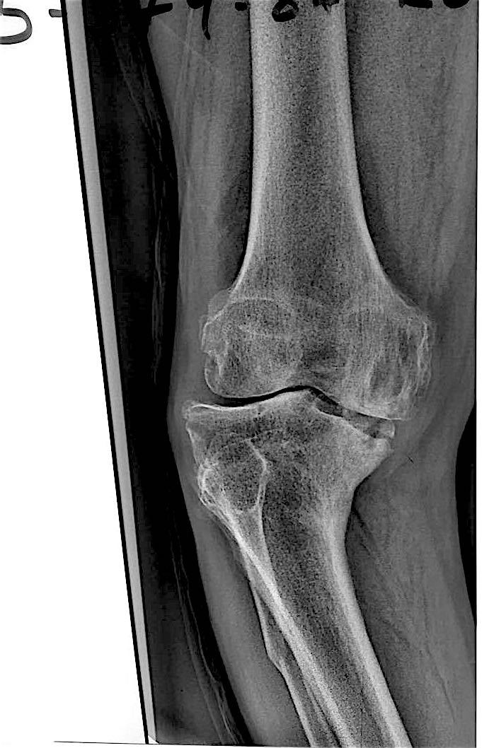
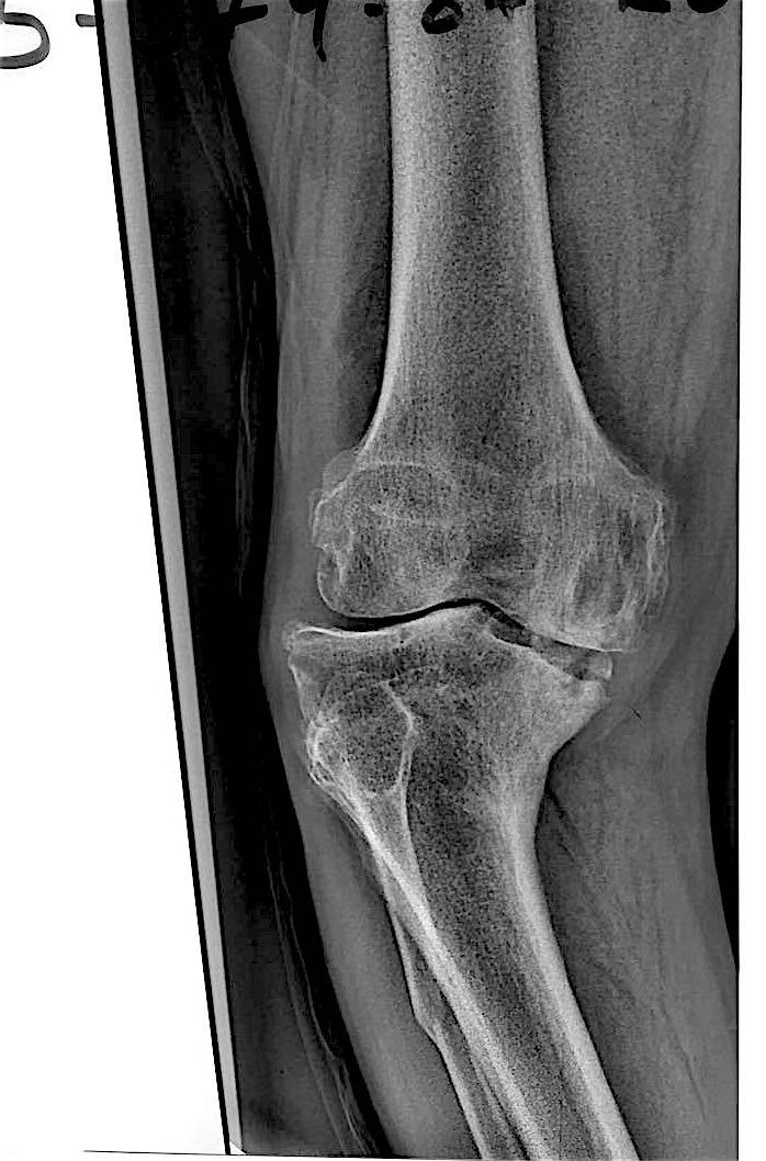
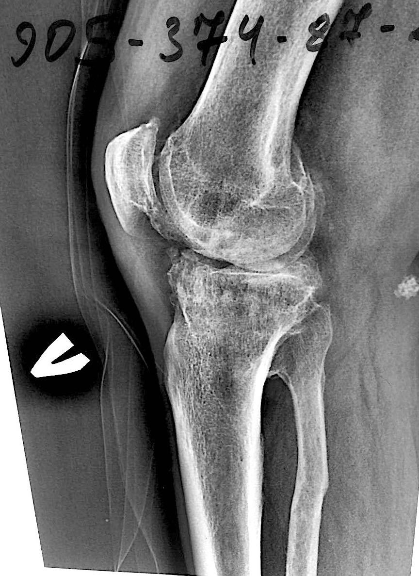
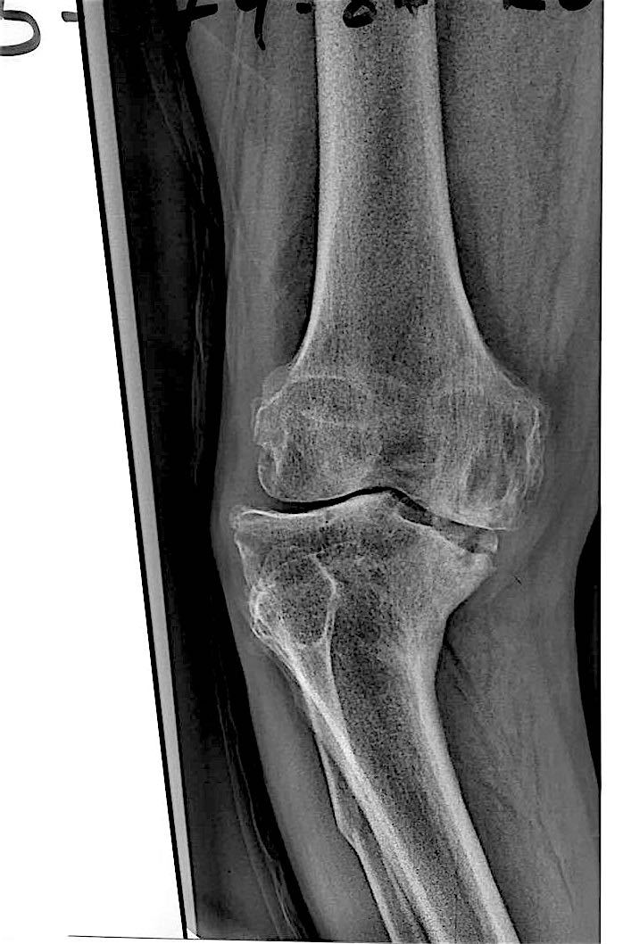
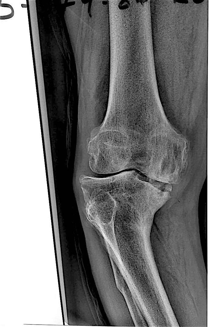
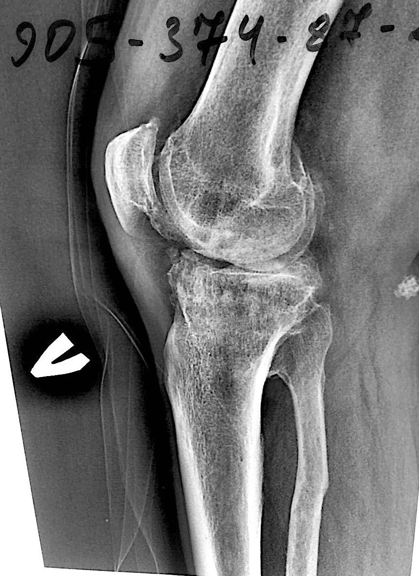
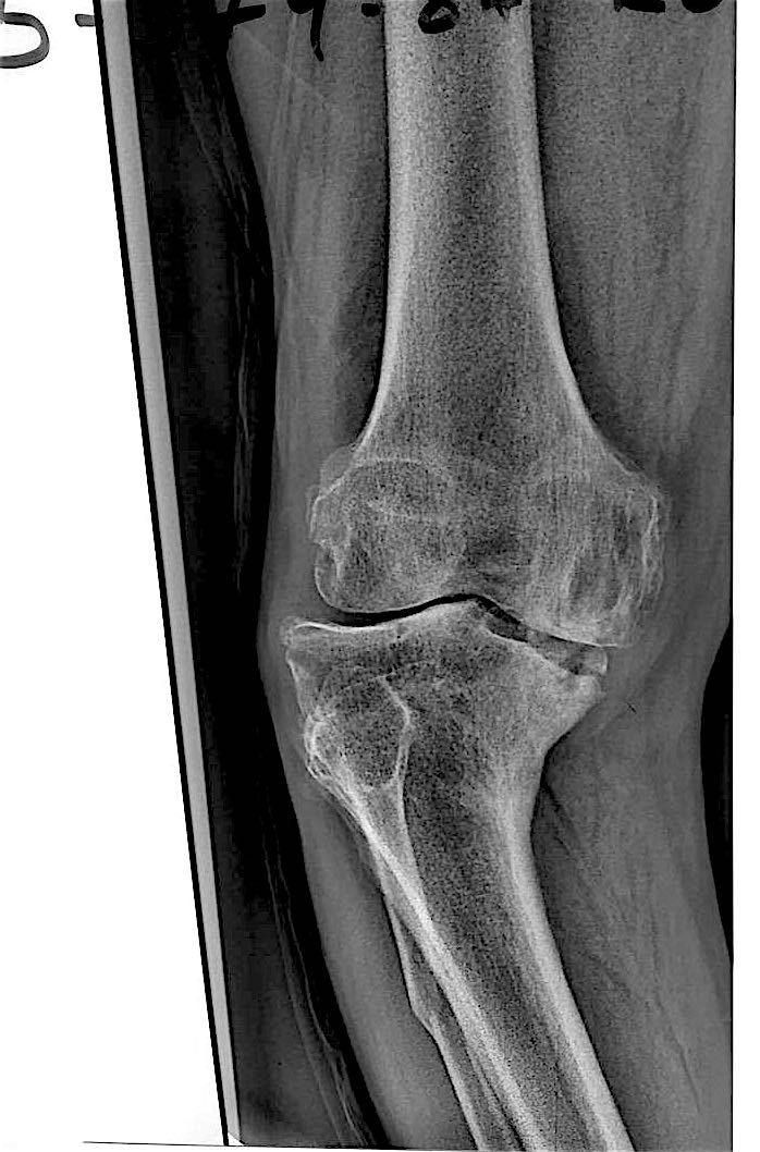
Больной З. 72 года. Диагноз: посттравматический деформириующий правосторонний гонартроз, genu valgum.

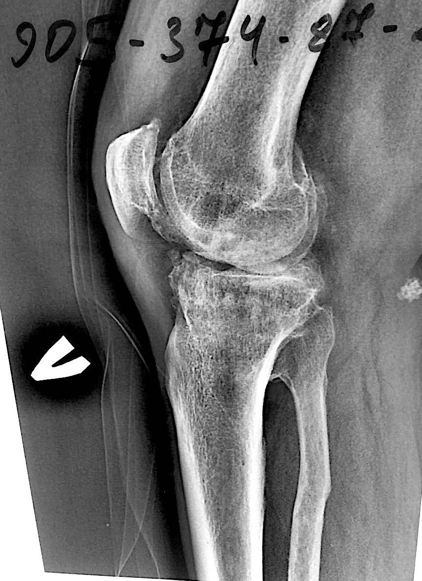
Сделано тотальное эндопротезирование коленного сустава, костная аллопластика материалом «Лиопласт».