ГлавнаяТравматологияКлинические примерыПрименение материалов "Лиопласт" в детской ортопедии. Случай 5

Применение материалов "Лиопласт" в детской ортопедии. Случай 5

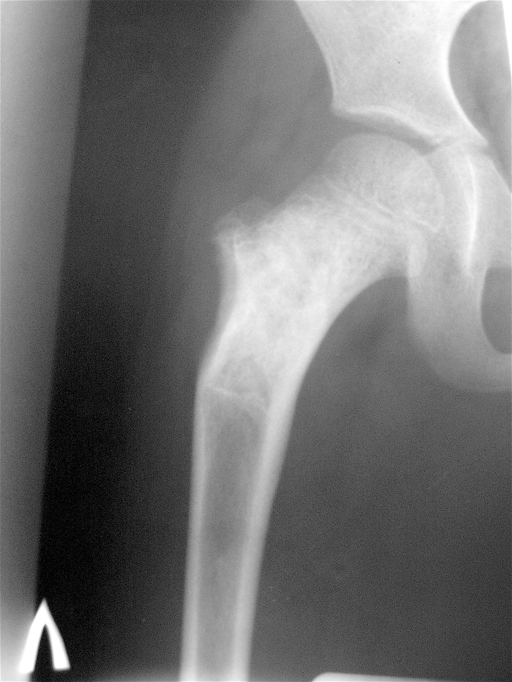
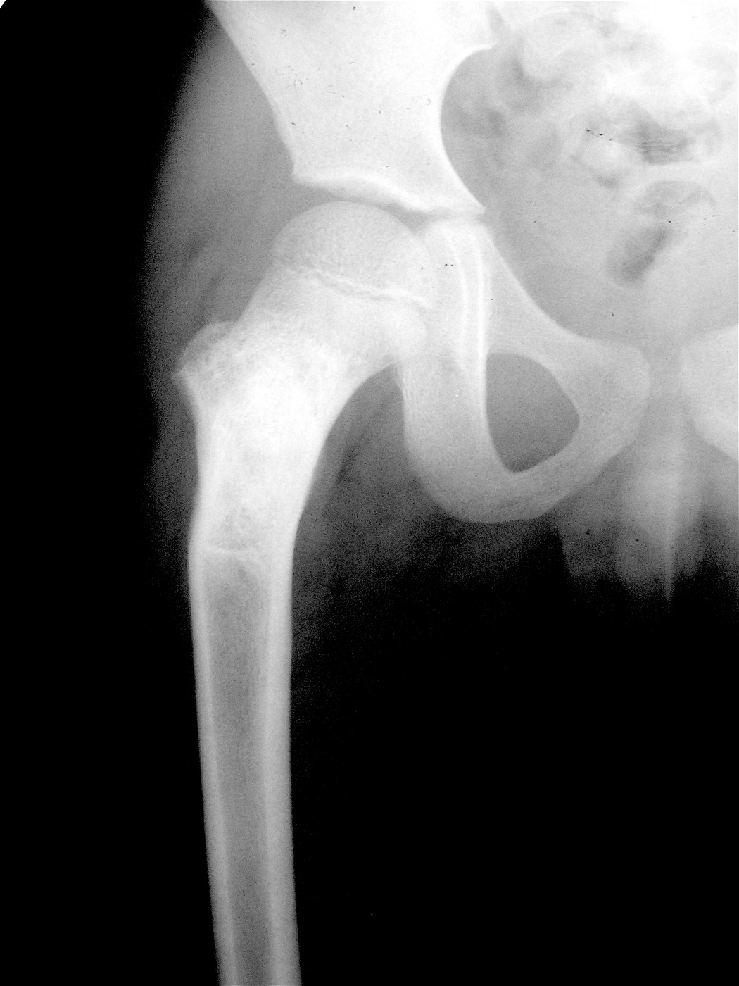
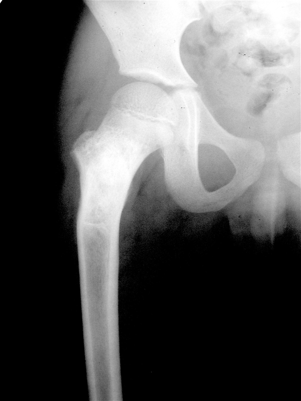
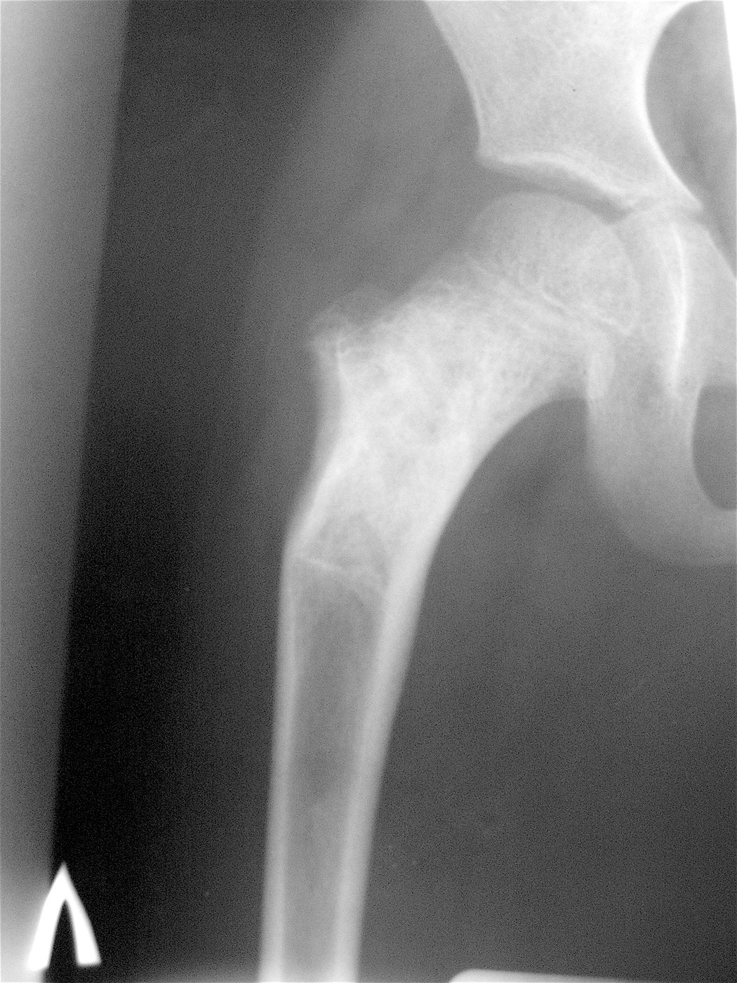
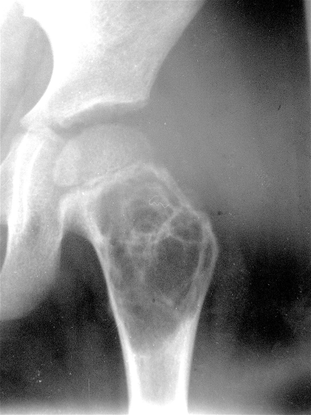
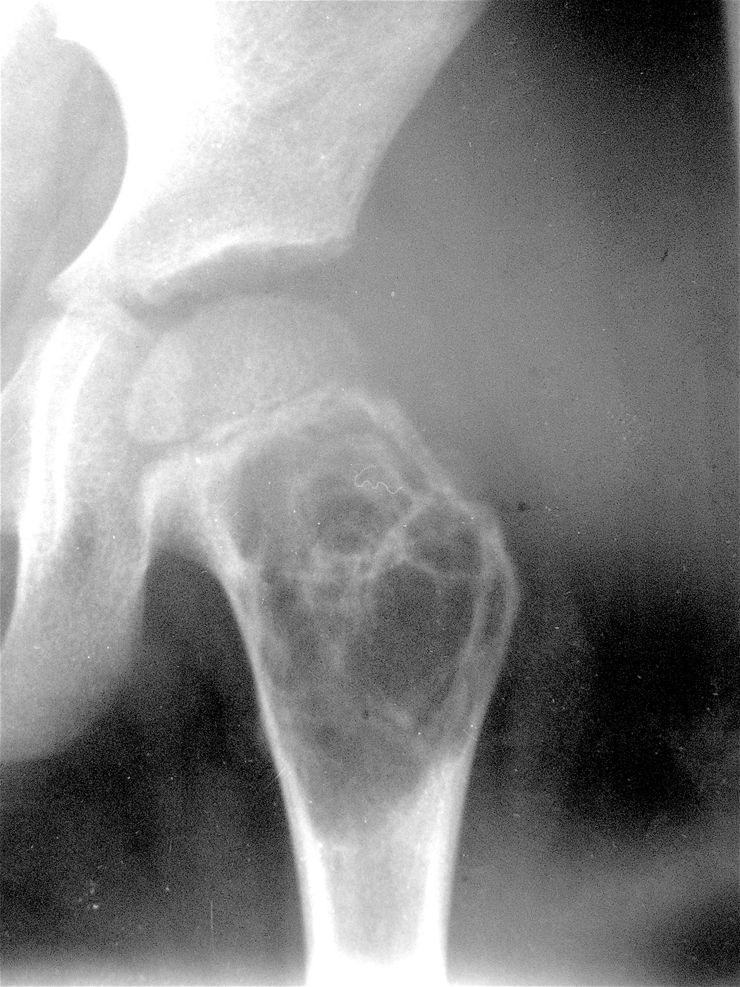
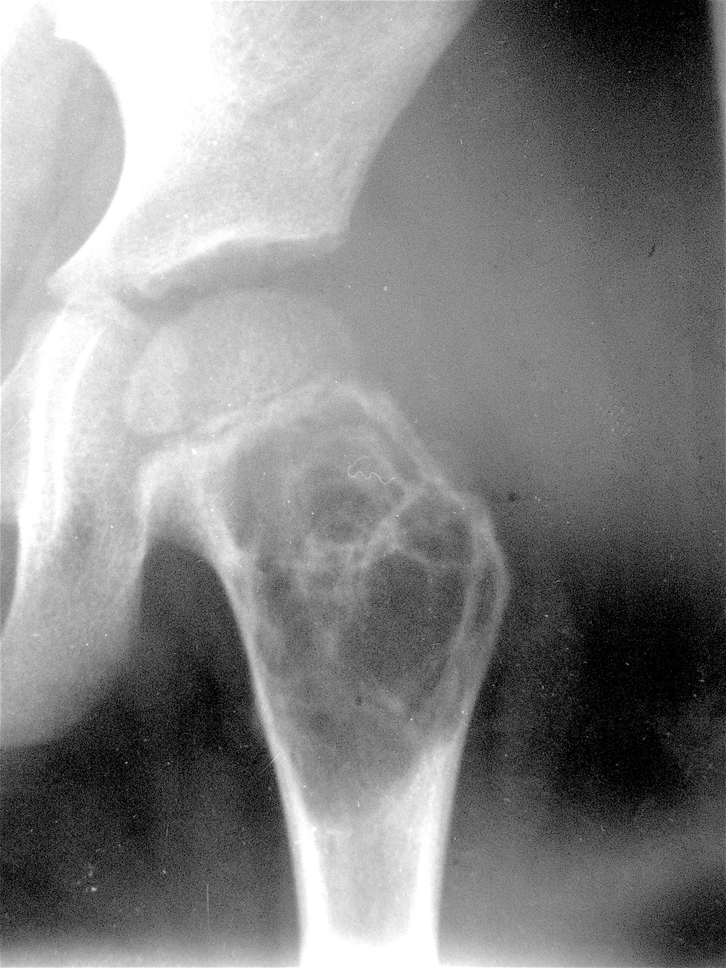
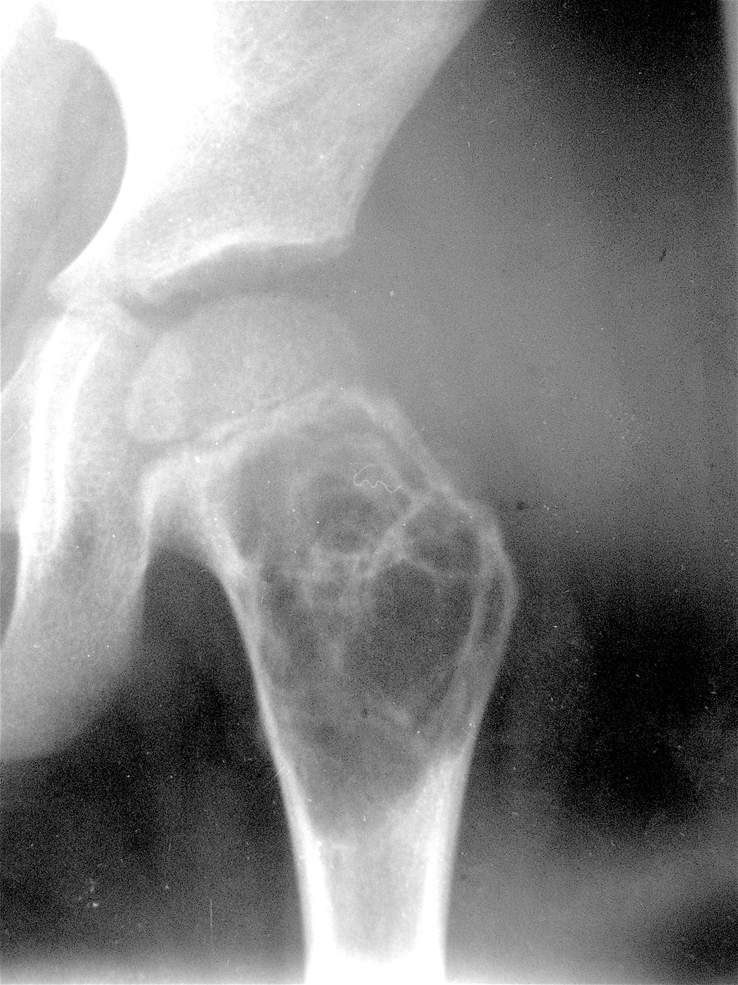
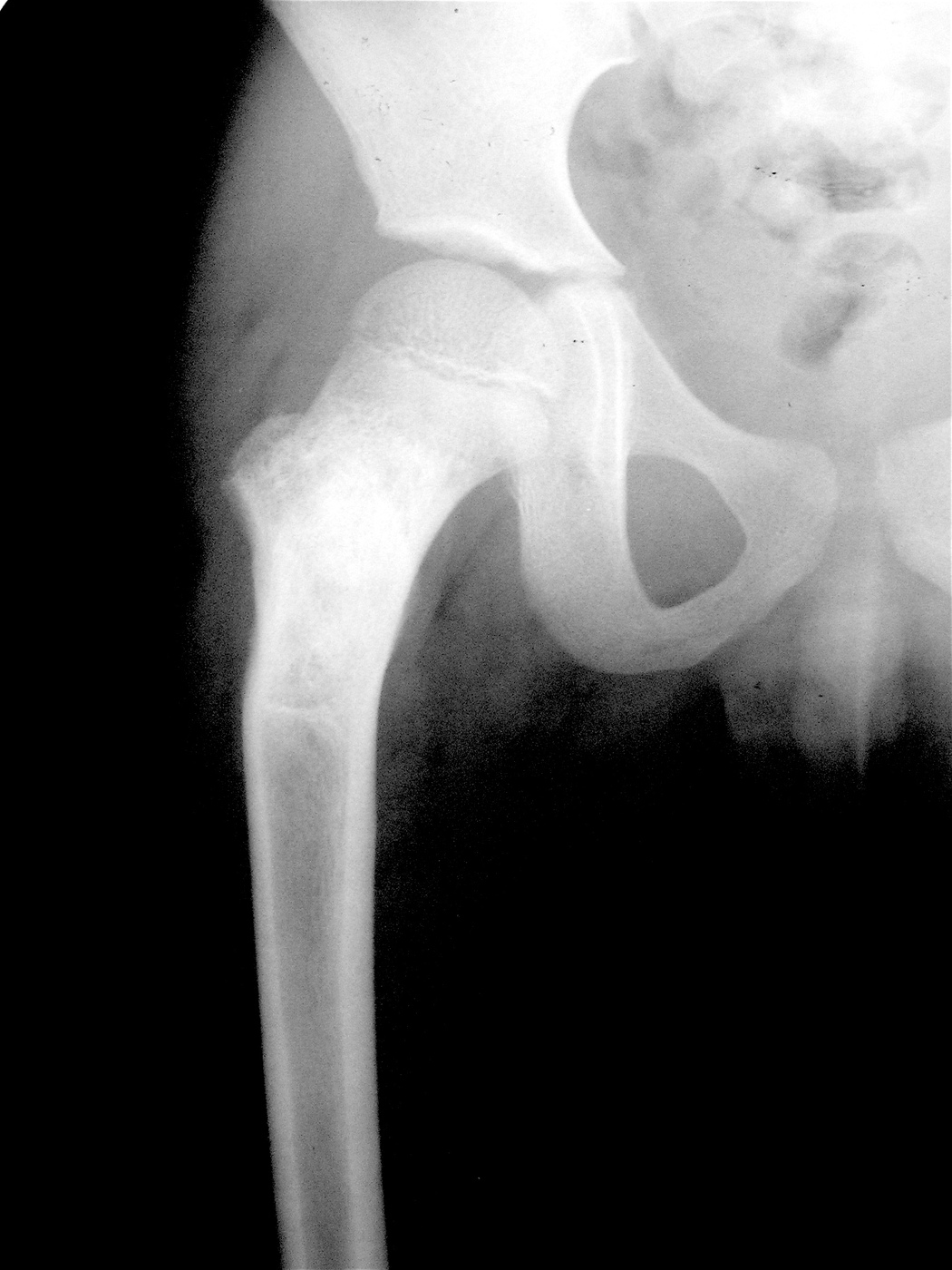
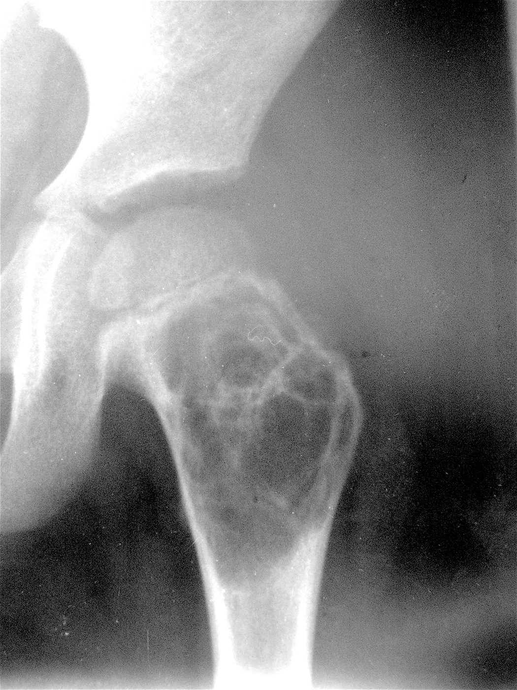
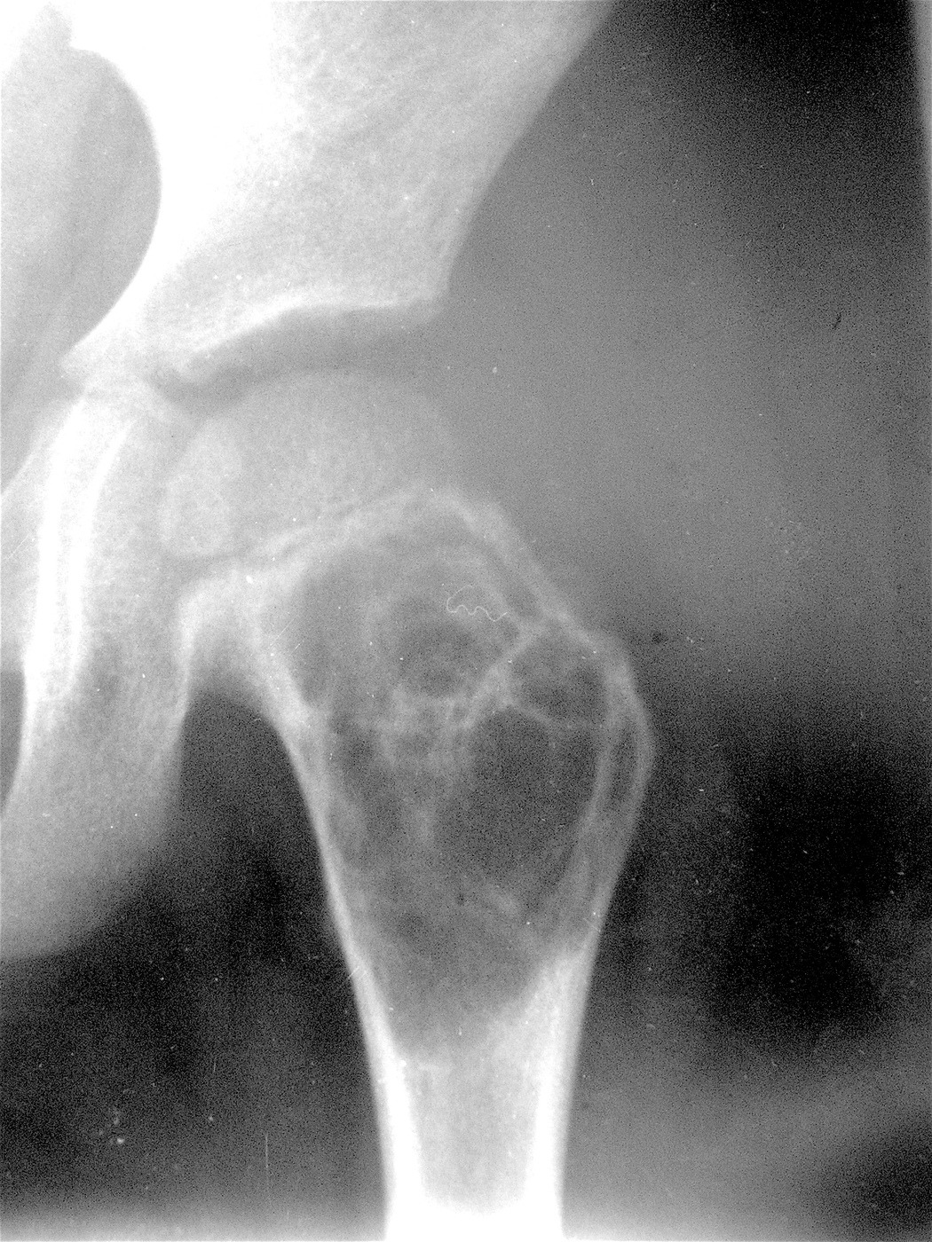
Закрытый патологический перелом шейки левой бедренной кости и проксимального метафиза бедренной кости на фоне аневризмальной костной кисты.

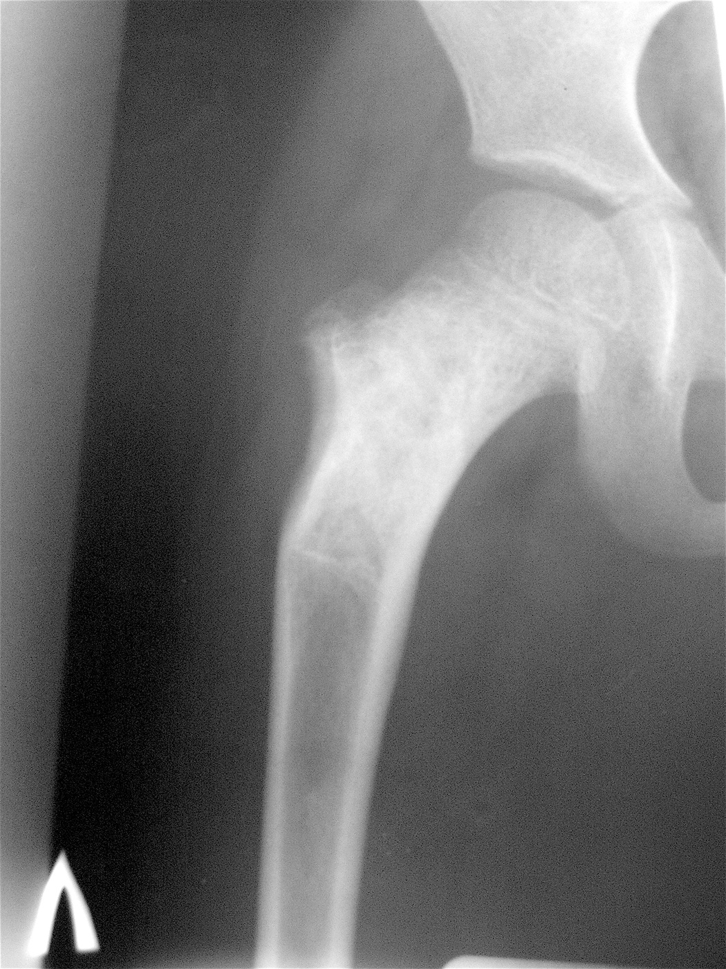
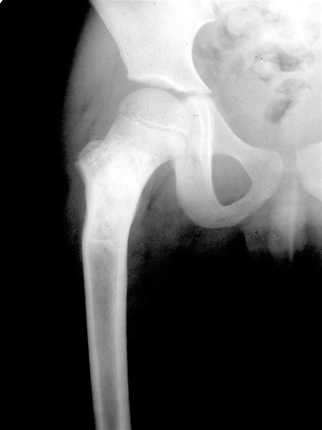
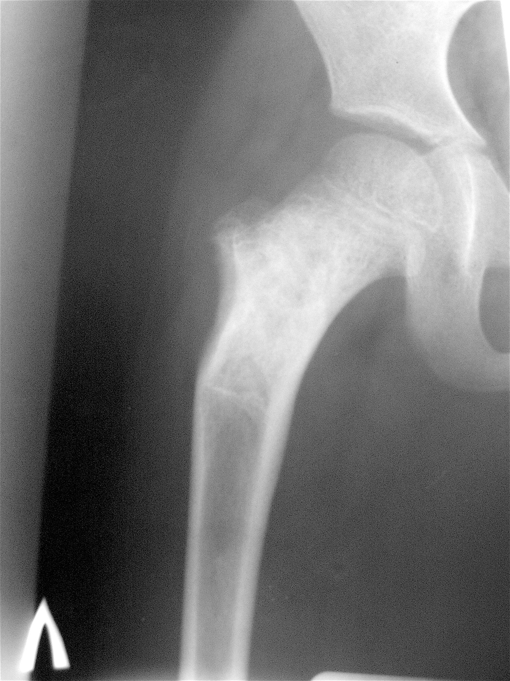
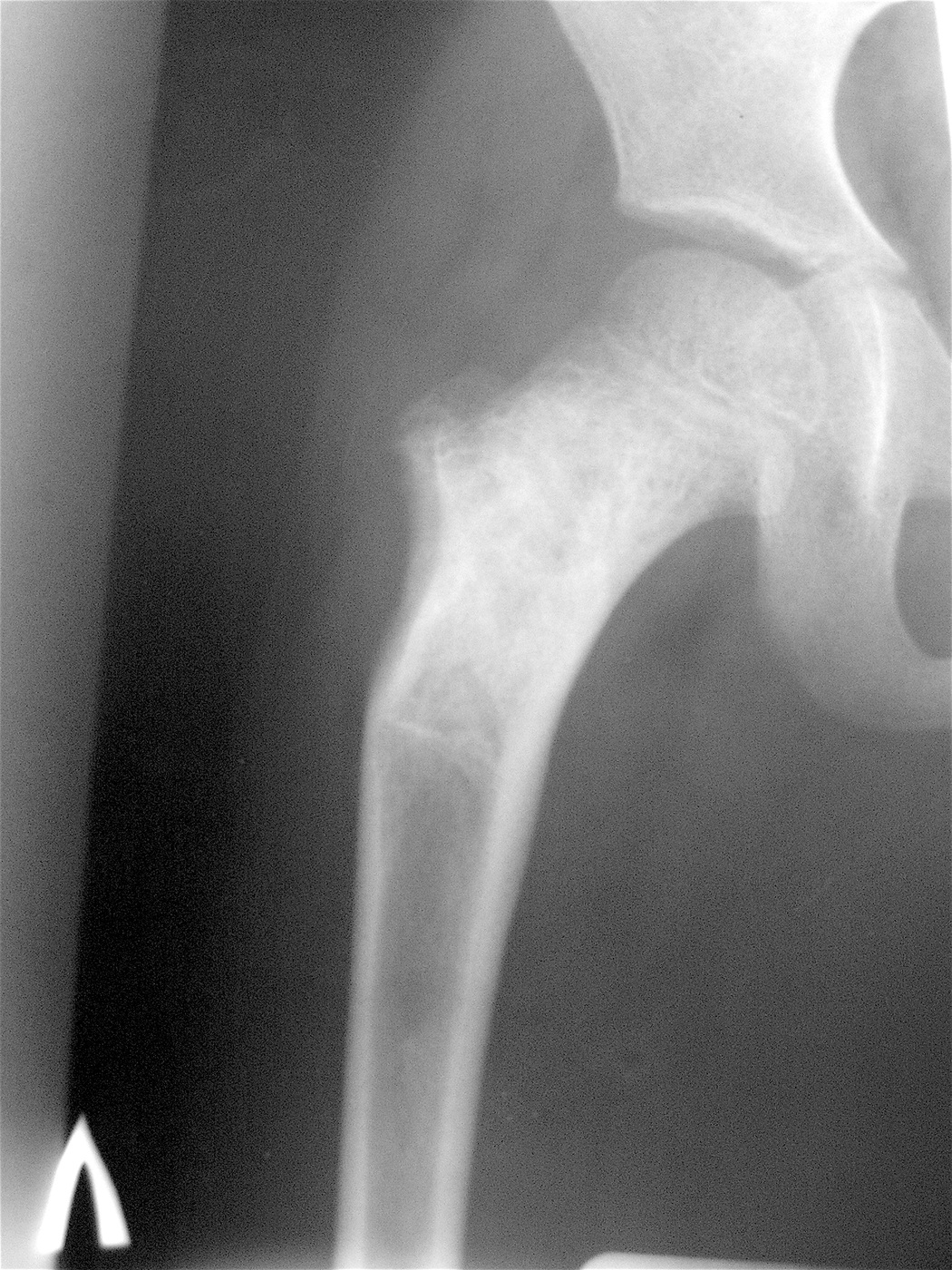
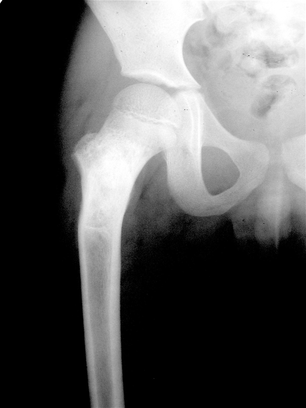
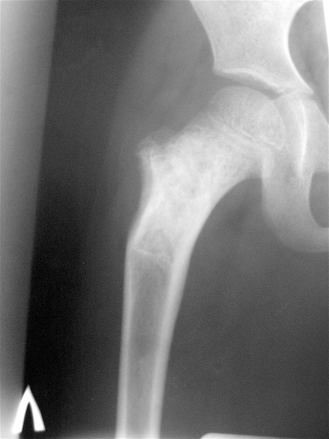
Аллопластика материалом «Лиопласт».