ГлавнаяТравматологияКлинические примерыПрименение материалов "Лиопласт" в детской ортопедии. Случай 4

Применение материалов "Лиопласт" в детской ортопедии. Случай 4

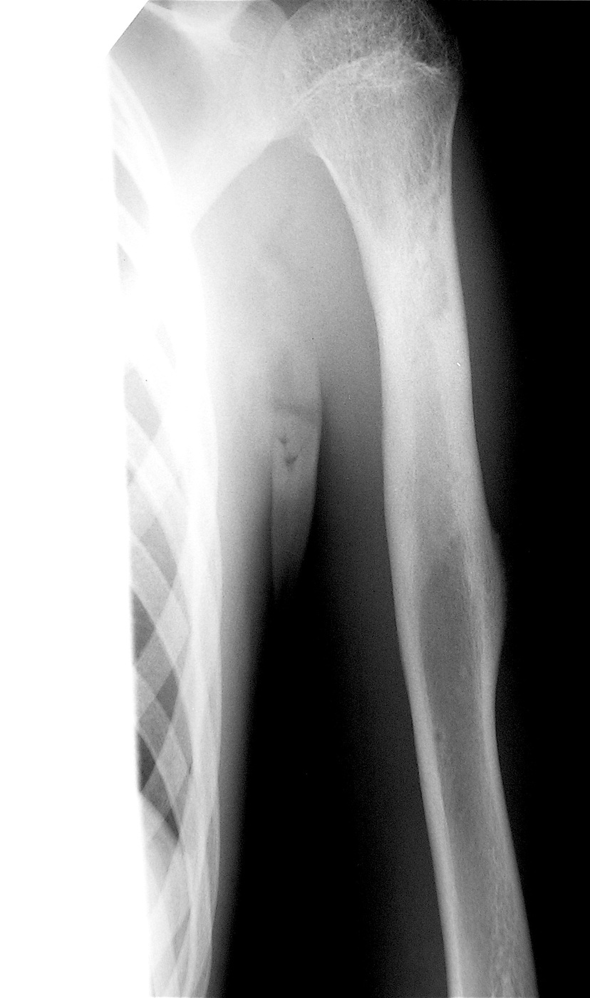
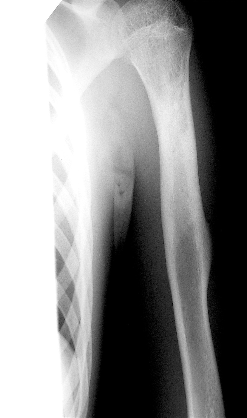
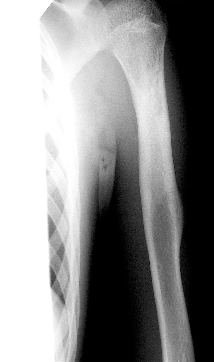
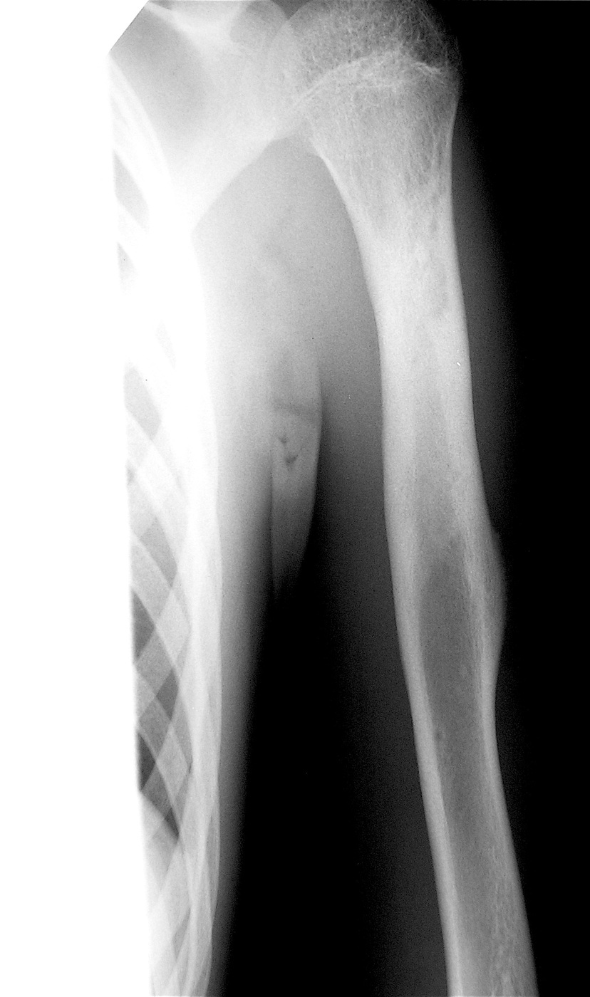
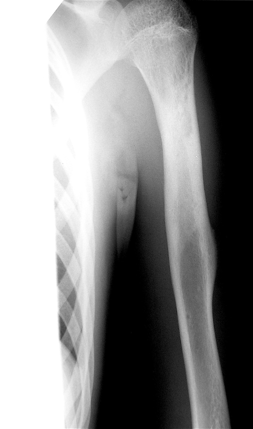
Аневризмальная киста проксимального метафиза левой плечевой кости.

Выполнена операция: экскохлеация кисты, аллопластика материалом «Лиопласт».