ГлавнаяТравматологияКлинические примерыПрименение материалов "Лиопласт" в детской ортопедии. Случай 3

Применение материалов "Лиопласт" в детской ортопедии. Случай 3

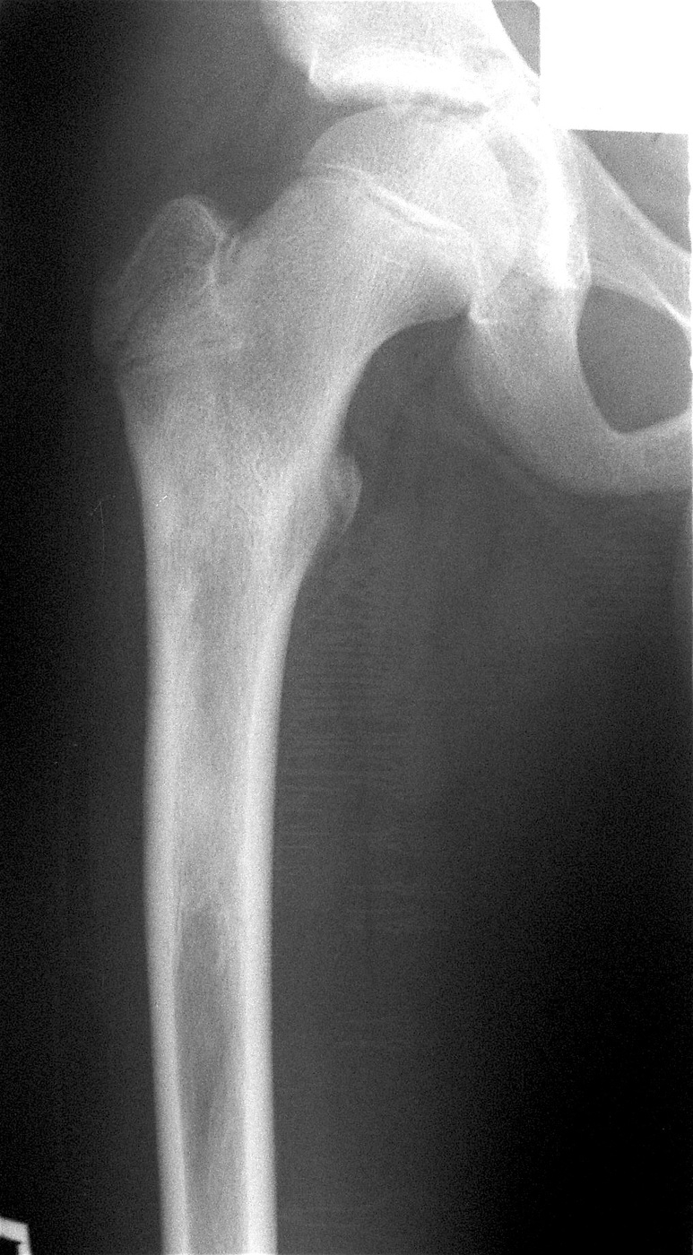
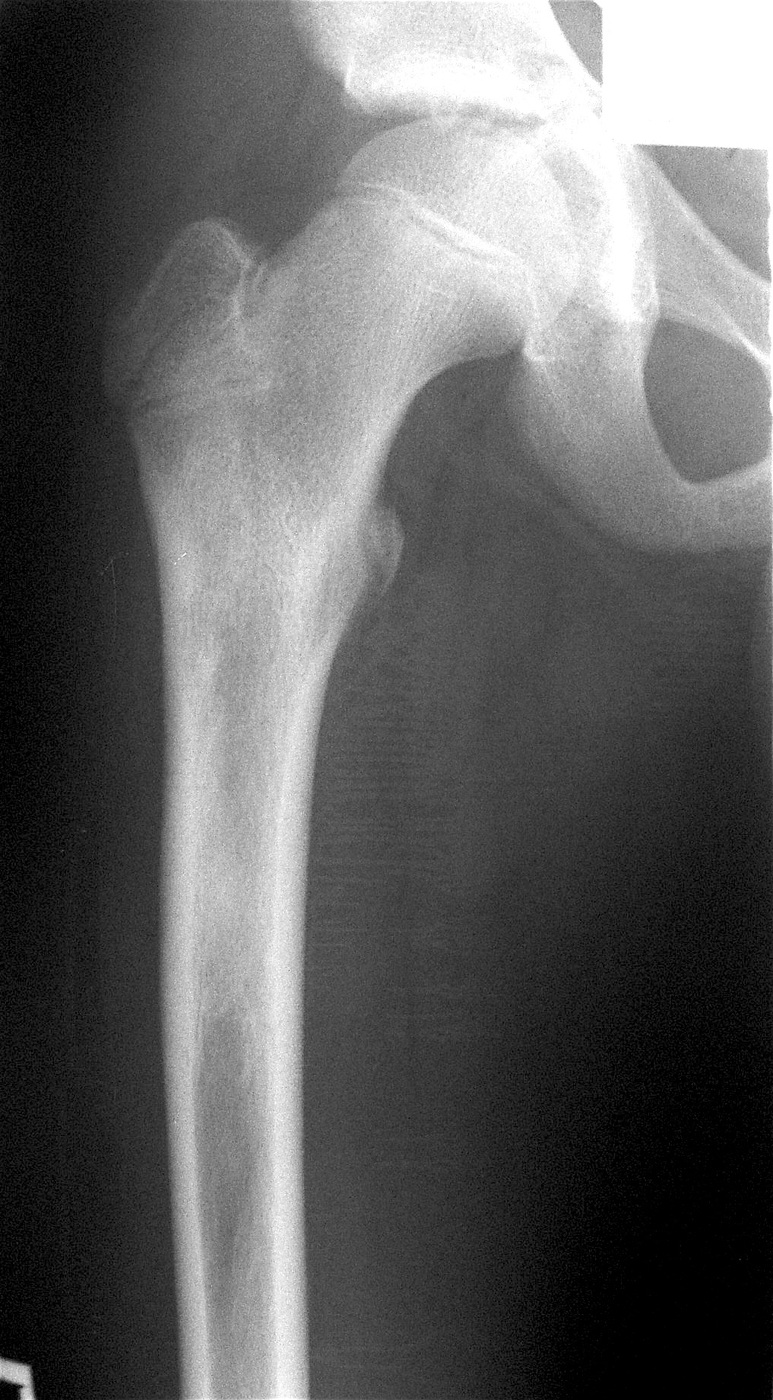
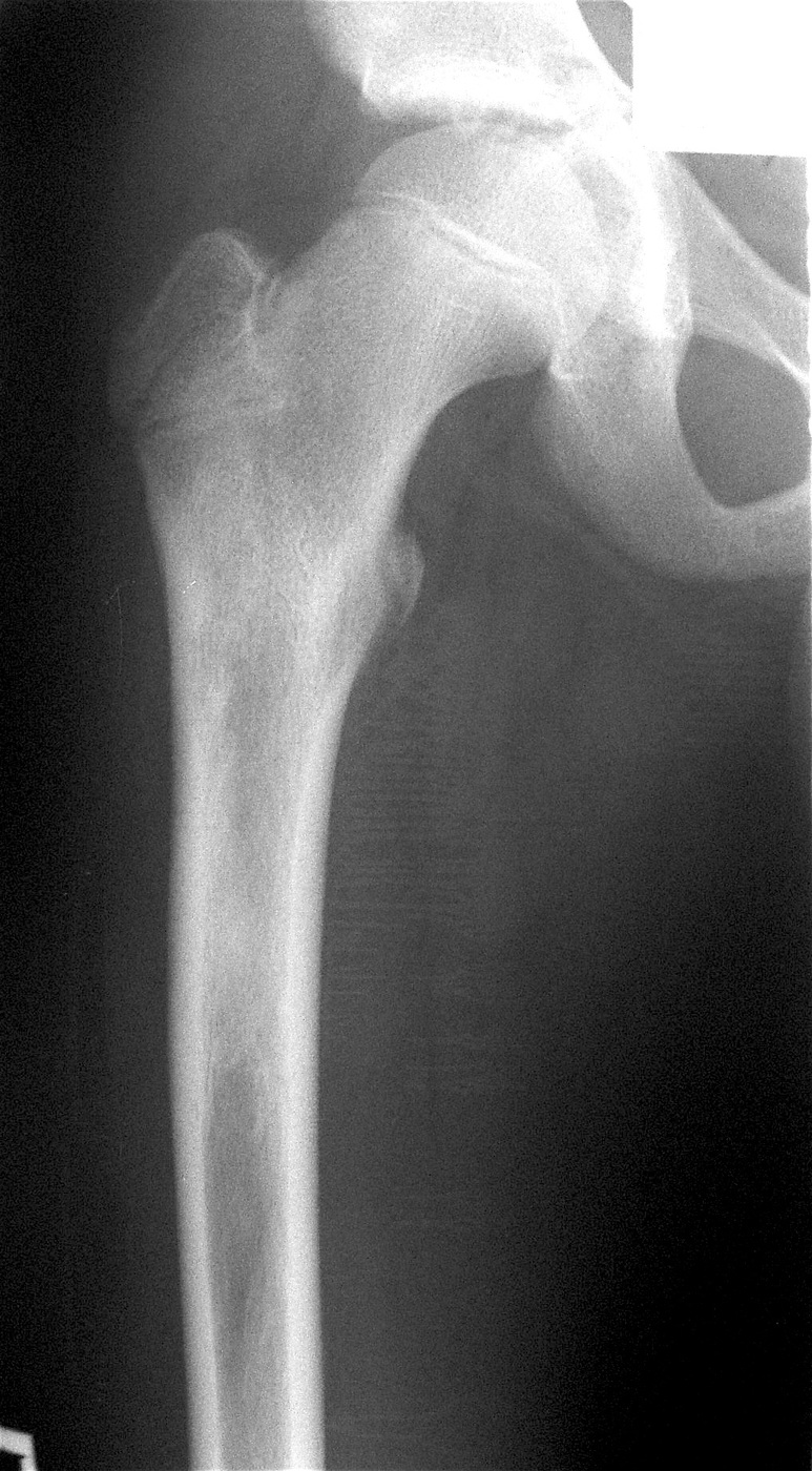
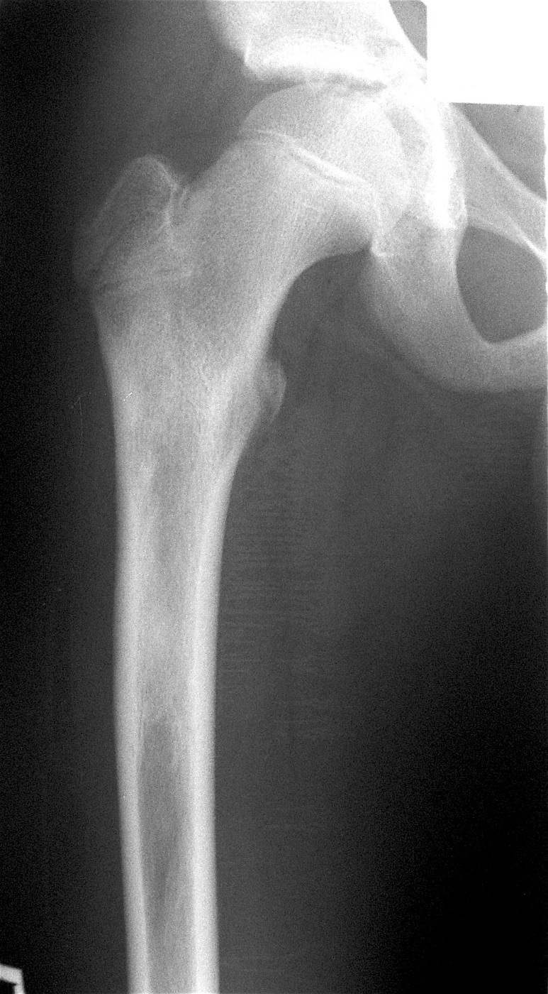
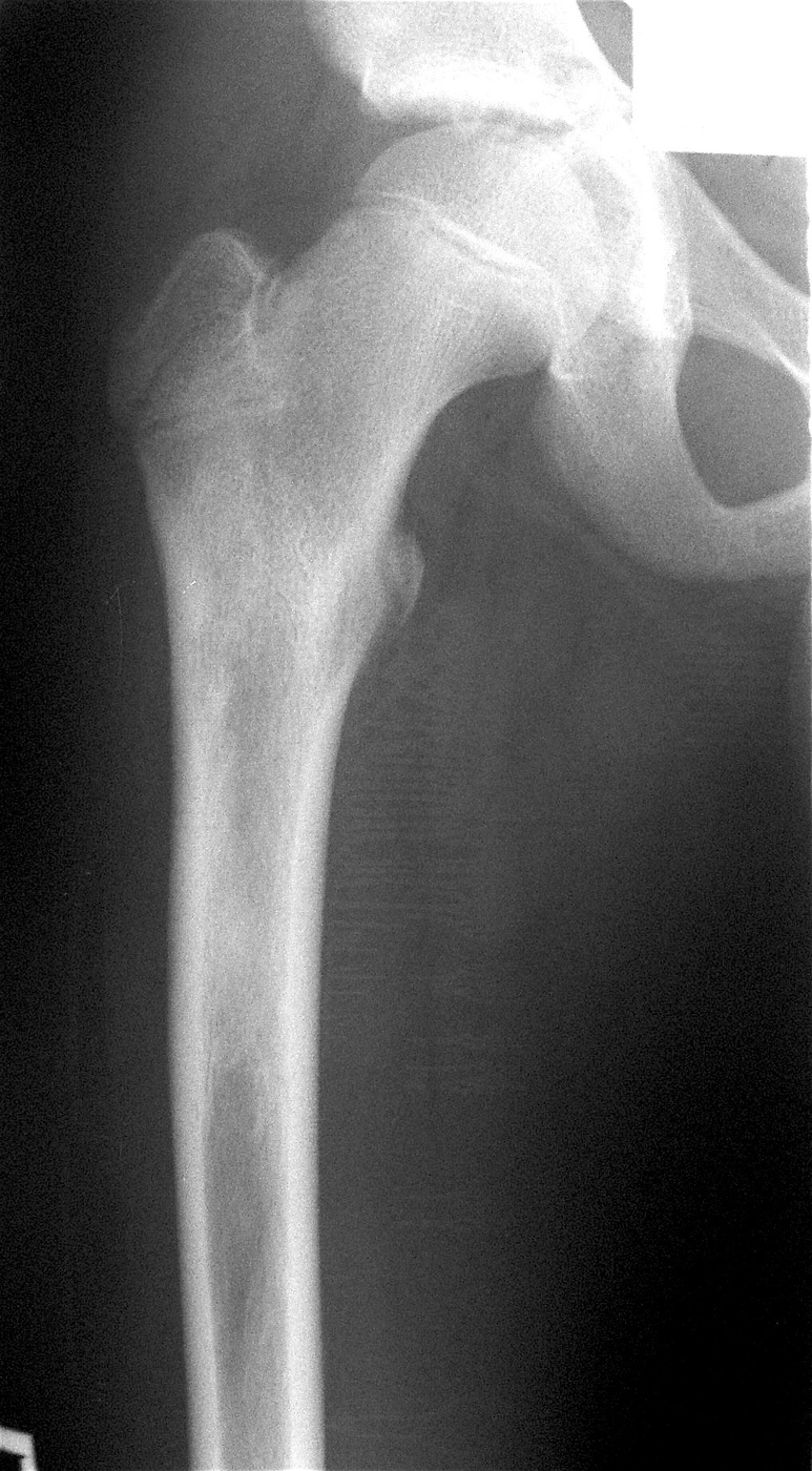
Остеоид-остеома проксимального метафиза правой бедренной кости.

Выполнена: внутрикостная резекция патологического очага, аллопластика материалом «Лиопласт».