ГлавнаяТравматологияКлинические примерыПрименение материалов "Лиопласт" в детской ортопедии. Случай 1

Применение материалов "Лиопласт" в детской ортопедии. Случай 1

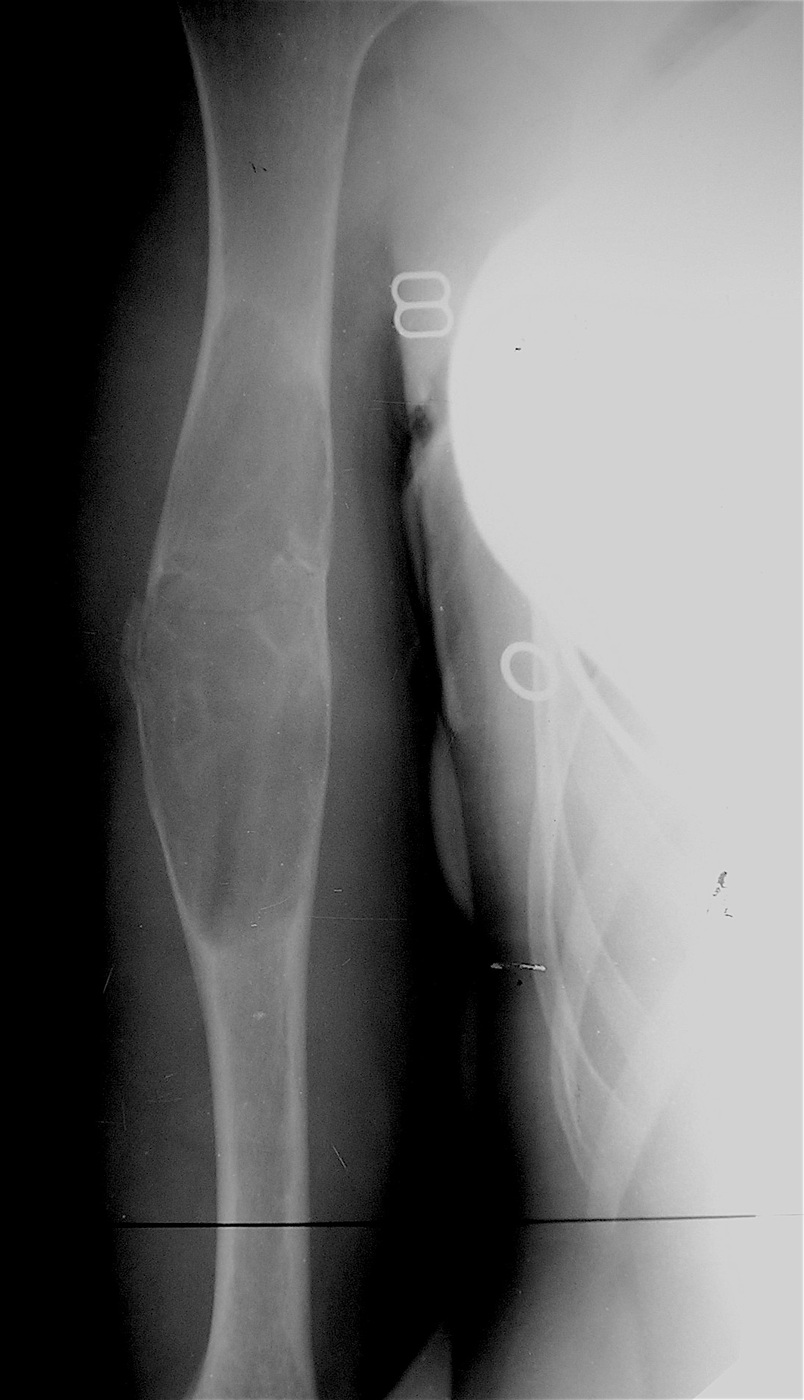
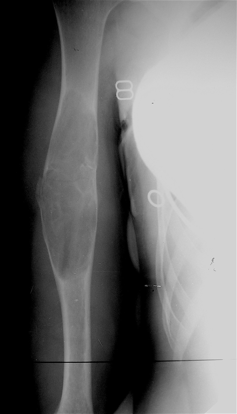
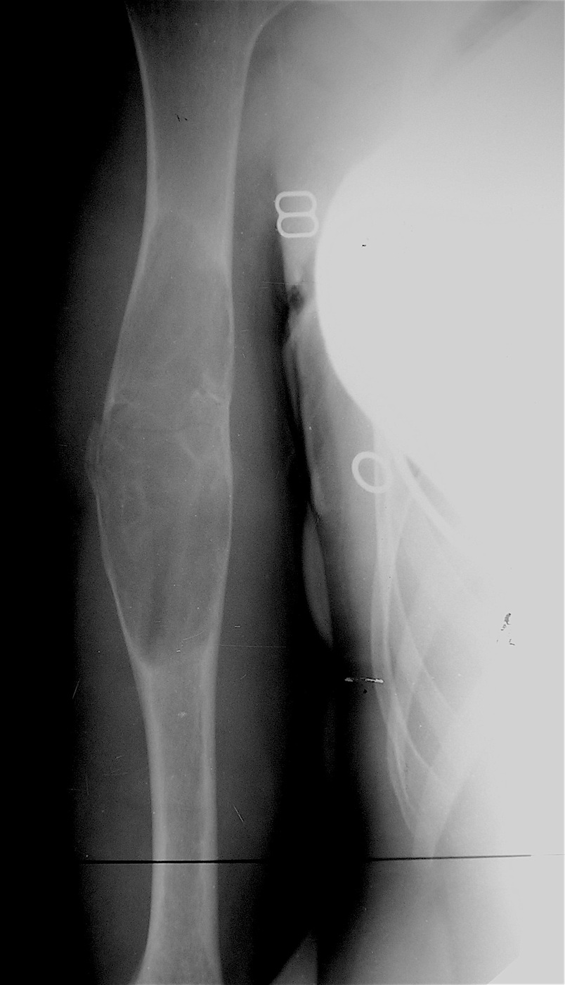
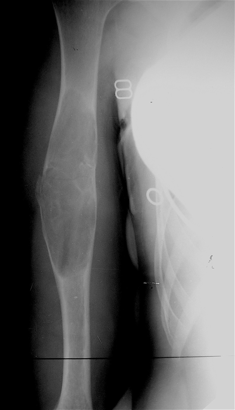
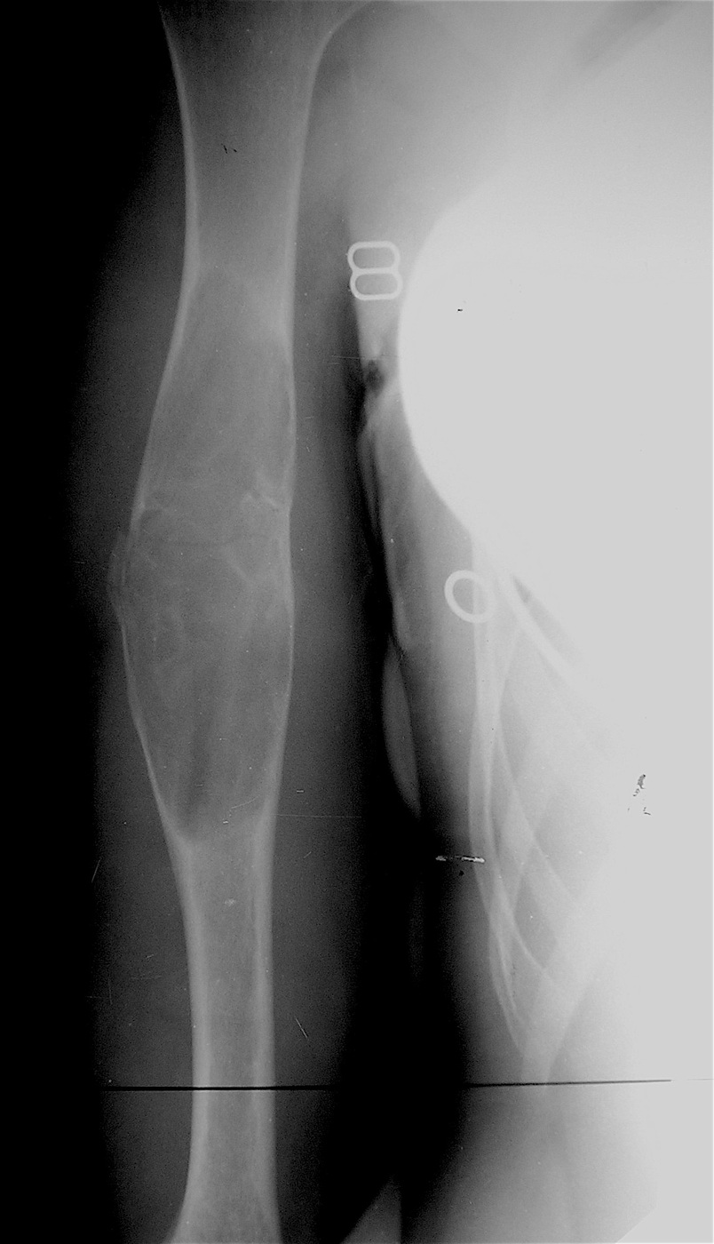
Закрытый, патологический перелом в с/з правой плечевой кости на фоне аневризмальной кисты диафиза правой плечевой кости.

Выполнена операция: экскохлеация кисты, остеосинтез титановыми эластичными стержнями и металлической скобой, аллопластика патологического очага материалом «Лиопласт».  

Функция конечности сохранена, ребенок себя обслуживает.

Имеется укорочение правой верхней конечности  на 1,5 см за счет плеча.